
Khi trẻ chẳng may bị gãy một chiếc răng sữa, nhiều bậc cha mẹ không khỏi hoang mang: Liệu răng đó có mọc lại không? Có ảnh hưởng … Xem thêm
Yên tâm sống khỏe – khỏe để hạnh phúc
“Yên tâm sống khỏe – khỏe để hạnh phúc”
Trẻ bị gãy răng sữa có mọc lại không?
Khi trẻ chẳng may bị gãy một chiếc răng sữa, nhiều bậc cha mẹ không khỏi hoang mang: Liệu răng đó có mọc lại không? Có ảnh hưởng … Xem thêm
Trẻ bị sâu răng và viêm lợi – cách xử lý như thế nào?
Cách chữa bệnh nghiến răng khi ngủ cho trẻ
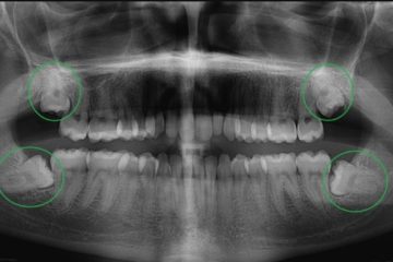
Khi nào nên nhổ răng sữa cho trẻ?
Răng miệng là một phần quan trọng trong sự phát triển toàn diện của trẻ nhỏ. Tuy nhiên, sâu răng và viêm lợi lại là hai vấn đề thường gặp nhưng dễ bị …
Tiếng nghiến răng của con vào ban đêm có thể là nỗi lo lắng của nhiều bậc cha mẹ. Liệu đây có phải là dấu hiệu của bệnh lý nào không, hay chỉ là một …
Quá trình thay răng sữa để nhường chỗ cho răng vĩnh viễn là một cột mốc quan trọng trong sự phát triển của trẻ. Tuy nhiên, không phải lúc nào răng sữa …
Niềng răng là quá trình dài đòi hỏi sự kiên nhẫn để có được hàm răng đều đẹp và khớp cắn chuẩn. Tuy nhiên, nhiều người lại mong muốn tháo niềng sớm để …
Nám cần được chăm sóc da đúng cách. Những biện pháp điều trị nám tại nhà này sẽ biến đổi làn da của bạn từ tình trạng đổi màu loang lổ thành làn da …
Tại sao da mặt thường có vẻ đen hơn so với da tay? Rất nhiều người chung thắc mắc và cảm thấy bực mình vì sự chênh lệch này. Giá mà nó có thể đổi màu …