Niềng răng là phương pháp được nhiều người lựa chọn trong thời gian gần đây nhằm khắc phục tình trạng răng bị hô, vẩu, móm, lệch lạc… hiệu quả. Tuy nhiên không chỉ có mắc cài, dây cung, dây thun mà khí cụ chỉnh nha còn nhiều loại với chức năng riêng. Chúng góp phần quan trọng với thành công của mỗi ca niềng răng. Dưới đây là tổng hợp đầy đủ nhất các loại khí cụ chỉnh nha mọi người cùng tham khảo nhé!
Mục lục
Khí cụ chỉnh nha là gì?

Khí cụ chỉnh nha hay niềng răng là những dụng cụ nha khoa được sử dụng trong quá trình nắn chỉnh răng, đưa các răng về đúng vị trí cung hàm như mong muốn. Khí cụ có nhiều loại và mỗi loại đảm nhận chức năng khác nhau.
Với sự phát triển của ngành nha khoa hiện nay, chỉnh nha bao gồm: niềng răng tháo lắp, niềng răng mắc cài và niềng răng trong suốt với các khí cụ dưới đây.
Khí cụ niềng răng tháo lắp

Niềng răng tháo lắp kim loại là khí cụ được áp dụng phổ biến cho trẻ nhỏ trong độ tuổi từ 5 – 12 tuổi. Trong thời gian này, cung hàm của trẻ đang phát triển và chưa mọc hết răng vĩnh viễn. Đeo hàm tháo lắp ở độ tuổi này giúp trẻ nắn chỉnh sớm hàm răng, lấy lại cấu trúc cân đối, giúp phát triển thể chất và tinh thần của bé bình thường, khoẻ mạnh. Bên cạnh đó, khi dùng hàm tháo lắp, trẻ vẫn ăn uống, vệ sinh răng miệng dễ dàng.
Các khí cụ chỉnh nha tháo lắp cho bé bao gồm:
- Khí cụ 2 × 4: Sắp xếp lại răng trên và dưới cho bé nếu thấy dấu hiệu mọc thưa, hô…
- Khí cụ Twinblock: Chỉnh xương hàm trên hoặc hàm dưới nếu thấy dấu hiệu móm.
- Khí cụ Headgear: Dấu hiệu răng hàm hô hoặc móm.
- Khí cụ nới rộng Quad-helix/ Wilson: Nới rộng cung hàm hẹp.
Khí cụ cho niềng răng mắc cài
Niềng răng mắc cài là phương pháp chỉnh nha có từ lâu đời với mắc cài được gắn cố định trên bề mặt răng. Cũng bởi chi phí hợp lý, đem lại hiệu quả cao nên hình thức này được nhiều người lựa chọn. Các loại khí cụ chỉnh nha bao gôm:
1. Hệ thống mắc cài

Hệ thống mắc cài là khí cụ vô cùng quan trọng khi niềng răng. Chúng vừa có tác dụng di chuyển răng theo đúng định hướng và lực mà nha sĩ mong muốn, vừa cố định răng tại vị trí chuẩn nhất trên cung hàm.
Mắc cài hiện nay gồm có mắc cài làm bằng kim loại và mắc cài làm từ sứ hoặc pha lê nguyên chất sở hữu tính thẩm mỹ cao hơn. Các mắc cài được gắn trực tiếp lên bề mặt răng bằng chất gắn nha khoa chuyên dụng. Hoặc có trường hợp được gắn vào mặt sau của răng.
Đọc thêm: Mắc cài sứ bị vàng nên xử lý thế nào?
2. Dây cung
Dây cung là sợi thép vòng xung quanh khuôn hàm. Sau khi đã gắn mắc cài lên bề mặt răng, bác sĩ tiến hành đi dây cung, cố định chúng với mắc cài thông qua chun (hay sợi chỉ thép) hoặc chốt tự động hiện đại. Khí cụ chỉnh nha này không thể thiếu giúp tạo lực dịch chuyển đúng theo phác đồ trị liệu của bác sĩ.
Dây cung thường được làm bằng chất liệu thép không gỉ như: niken, titanium…, thích hợp và an toàn với môi trường trong miệng. Chúng có hình tròn vuông, lớn hay nhỏ còn phụ thuộc vào mỗi giai đoạn chỉnh nha.
3. Hook
Hooks là một thành phần nhỏ ở trên đầu của mắc cài, được thiết kế để gắn dây chung liên hàm ở cả hàm trên và hàm dưới. Hooks thường được gắn ở các răng nhanh hay các răng cối nhỏ và trên khâu (band) hay mắc cài răng cối lớn.
4. Band (Khâu)

Band hay có tên “Khâu” là khí cụ chỉnh nha cấy tạo theo hình dáng răng của bạn. Khâu thường được gắn vào răng hàm số 6 hoặc số 7 để làm điểm tựa, điểm neo của hệ thống niềng răng. Những đầu của dây cung sẽ được gắn vào khâu chỉnh nha, có tác dụng duy trì lực tác động của dây cung lên các răng khác.
5. Minivis

Minivis là một trụ titan nhỏ được bắt vít vào trong xương hàm. Mục đích chính là sử dụng loại vít như một điểm tựa nhằm tạo ra lực kéo ổn định, tận dụng quá trình răng di chuyển để có thể di chuyển cả khối răng hoặc vài răng bị lệch vẹo sang bên quá mức. Trong trường hợp răng bị vểnh nặng, chìa hẳn ra bên ngoài cũng cần kết hợp niềng răng với minivis.
Cấu tạo của minivis có kích thước khá nhỏ với đường kính trung bình từ 1.4 – 2mm, chiều dài trung bình từ 6 – 12mm. Tuỳ vào mỗi trường hợp cụ thể mà số lượng, vị trí cắm minivis là khác nhau. Chúng thường được chỉ định khi bác sĩ muốn: đóng khoảng sau nhổ răng, đánh lún hoặc làm trồi răng, di xa toàn hàm…
6. Lò xo

Lò xo được thiết kế gắn vào các răng hàm nhằm kết nối với dây cung phía sau răng nanh. Hiện nay có 3 loại lò xo chính với mục đích khác nhau:
- Lò xo đẩy: Nhằm tạo thêm khoảng trống giữa các răng.
- Lò xo kéo: Ngược lại với lò xo đẩy nhằm đóng khoảng trống giữa các răng lại với nhau.
- Lò xo duy trì: Được kéo giãn như lò xo kéo nhưng công dụng của chúng là để duy trì khoảng trống hiện có, giúp khoảng trống không mở rộng ra, cũng không thu hẹp lại.
7. Thun liên hàm

Thun liên hàm là loại thun có kết cấu từ cao su, tính dẻo và thường được gắn từ hàm trên xuống hàm dưới với mục đích tạo lực kéo vừa phải cho răng. Công cụ này sử dụng trong các trường hợp: kéo răng khấp khểnh, kéo răng mọc chếch hẳn trên xương hàm, răng khớp cắn hở, răng cắn đối đầu…
Các loại thun liên hàm gồm:
- Thun liên hàm loại I: Là loại thun được dùng ở các khe hở của răng. Khi đó, thun được đặt giữa các kẽ răng, móc từ răng cối thứ 1 hoặc thứ 2 ở hàm trên hoặc răng nanh hàm trên.
- Thun liên hàm loại II: Được sử dụng từ răng hàm dưới thứ nhất cho đến răng nanh hàm trên hoặc củng cố neo trong trường hợp nhổ răng. Hoặc chúng có thể di chuyển răng cửa hàm trên về phía sau, điều chỉnh mức độ lệch đường giữa khi kéo răng về 2 bên khác nhau.
- Thun liên hàm loại III: Sử dụng để chỉnh sửa khe hở dưới bằng cách rút lại răng dưới và nâng răng phía trên lên.
8. Chun chuỗi

Chun chuỗi hay thun chuỗi có tên tiếng Anh: Power/ Energy/ Memory Chain được thiết kế là một dài cao su nhiều vòng hình chữ O được kết nối với nhau. Công dụng của khí cụ này là đóng các khoảng trống, không cho khoảng trống rộng thêm giữa hai hay nhiều răng khi chỉnh nha. Vì chun chuỗi có tác dụng nhiều lực hơn so với việc chỉ niềng răng bằng mắc cài, dây cung nên giúp rút ngắn thời gian trị liệu. Trong trường hợp răng thưa, bác sĩ sử dụng chun chuỗi kết hợp cùng khí cụ khác nhằm nắn chỉnh hàm răng từ từ đến khi răng đều và khít hoàn toàn với nhau.
Chun chuỗi làm từ vật liệu chính là cao su, hoàn toàn thân thiện với cơ thể, có chất lượng cao, độ bền tốt, tạo sự đàn hồi chuẩn nhất. Hiện nay, chun chuỗi có tưới 28 màu sắc khác nhau để bạn thoải mái lựa chọn theo sở thích.
Ngoài ra, chúng còn được phân chia thành nhiều loại theo tiêu chí khác nhau:
– Theo kích thước: có thun chuỗi ngắn – thun chuỗi dài – thun chuỗi liên tục (short – long – continuous)
- Thun chuỗi liên tục (thun đóng): Chỉ sử dụng 1 thun duy nhất, không có khoảng trống giữa các vòng trong thun chuỗi.
- Thun chuỗi ngắn: Sợi thun dài hơn với 3 – 4 vòng và liên kết giữa 3 – 4 chiếc răng với nhau.
- Thun chuỗi dài: Gồm nhiều vòng thun và liên kết nhiều răng với nhau, thậm chí là móc nối với cả hàm.
– Theo kích lực: thun chuỗi nhẹ – thun chuỗi nặng – thun chuỗi trung bình.
– Theo từng loại niềng răng: thun chuỗi mỏng cho niềng răng mắc cài mặt lưỡi, thun chuỗi sợi dày…
9. Chun tách kẽ

Chun tách kẽ hay thun tách kẽ cũng là một trong những bước đầu tiên trước khi bác sĩ tiến hành gắn mắc cài. Thun tách kẽ có vòng tròn cao su nhỏ, hơi cứng. Khi sử dụng, bác sĩ dùng dụng cụ nha khoa, đưa thun tách kẽ vào giữa kẽ răng của bệnh nhân. Mục đích là nong rộng hai răng và tạo ra khoảng cách vừa đủ giúp đặt khâu hoặc mắc cài bend back vào răng.
10. Khí cụ nong hàm
Có một số người muốn niềng răng nhưng cung hàm khá hẹp, không đủ diện tích để đưa khí cụ vào khoang miệng. Khí cụ nong hàm ra đời chính là để nới rộng phần cung hàm, tăng diện tích vòm miệng, tạo khoảng trống cho răng dịch chuyển dễ dàng hơn. Thường thì kỹ thuật này áp dụng chủ yếu cho hàm trên, chỉ số ít dùng cho hàm dưới.
Thời gian nong hàm có thể dao động từ 1 – 3 tháng tuỳ theo trường hợp khác nhau. Nếu đã áp dụng nong hàm thì không cần phải nhổ răng nữa.
11. Hàm duy trì

Hàm duy trì sử dụng để thay thế cho hệ thống mắc cài, dây cung ngay sau khi bạn đã niềng răng thành công. Chúng được thiết kế theo khuôn hàm răng của bạn, mục đích giữ cho răng ổn định, duy trì kết quả tốt nhất, hạn chế tối đa các bệnh về răng miệng. Thời gian đeo hàm duy trì tuỳ vào từng trường hợp cụ thể của mỗi người.
Khí cụ niềng răng trong suốt
Niềng răng trong suốt là phương pháp hiện đại nhất được các chuyên gia đánh giá cao khi không cần các khí cụ cồng kềnh như mắc cài, dây cung mà vẫn đạt hiệu quả vượt trội. Chúng được cấu tạo từ bộ khay niềng trong suốt có cảm giác “niềng như không niềng”, mang lại tính thẩm mỹ vượt trội nhất. Ngoài ra, bạn thoải mái ăn uống, vệ sinh răng miệng thuận lợi. Niềng răng trong suốt được cấu tạo từ 2 bộ phận chính:
1. Khay trong suốt

Khay niềng trong suốt là khí cụ chính của niềng răng không mắc cài, được làm từ chất liệu nhựa chuyên dụng, đã qua kiểm định an toàn chất lượng. Nhờ vậy bạn không lo bị kích ứng trong khoang miệng hay ảnh hưởng đến sức khoẻ. Ngoài ra bộ khay niềng thiết kế chuyên biệt cho từng người với độ sát khít hoàn hảo, giúp đưa răng từ từ dịch chuyển đến vị trí như mong muốn trên cung hàm.
Cũng bởi khay niềng linh hoạt như vậy nên bạn không cần sử dụng mắc cài, dây cung, không lo bung tuột các loại khí cụ hay tổn thương cho môi, má…
Đọc thêm: Loại khay niềng răng 3D clear có hiệu quả không?
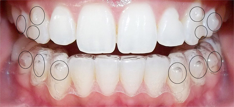
2. Attachment

Attachment là các mấu nhỏ được làm từ chất liệu composite có màu giống với màu răng tự nhiên, được gắn trực tiếp lên bề mặt của răng. Về hình dáng, Attachment thường dạng hình vuông, chữ nhật hoặc vát chéo. Chúng đảm nhận các vai trò khác nhau:
- Cố định khay niềng: Nhờ có những điểm attachment này mà khay niềng có thể nằm cố định mà không lo bị trơn tuột khỏi hàm.
- Tạo lực cho khay niềng: Attachment sẽ là những điểm tạo lực giúp các răng di chuyển về đúng vị trí theo phác đồ trị liệu của bác sĩ.
- Làm điểm neo để bác sĩ đặt một số khí cụ khác lên trong một vài trường hợp đặc biệt.
Các loại khí cụ chỉnh nha ở trên đều đóng vai trò quan trọng khi niềng răng, nhằm mang lại kết quả hoàn hảo nhất cho khách hàng. Hi vọng với thông tin trên, mọi người sẽ có cái nhìn đầy đủ hoàn về quá trình niềng răng nhé!Các loại khí cụ chỉnh nha – tổng hợp danh sách chi tiết, đầy đủ nhất
