Khớp cắn chéo ảnh hưởng không nhỏ đến thẩm mỹ cũng như chức năng ăn nhai, tạo gánh nặng lên dạ dày. Vậy khớp cắn chéo là gì? Nguyên nhân do đâu và cách khắc phục nào tốt nhất. Dưới đây là đầy đủ thông tin để mọi người cùng tìm hiểu nhé.
Mục lục
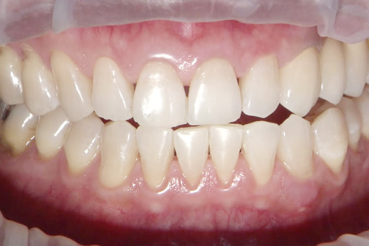
Khớp cắn chéo là gì?

Khớp cắn chéo là một dạng sai lệch xảy ra khi răng hàm trên và hàm dưới không thẳng hàng, phá vỡ sự đối xứng hoàn toàn của cả cung hàm.
Tuy hai hàm không cân đối nhưng nhưng khớp cắn chéo ít biểu hiện ra bên ngoài. Nếu nhìn đối diện, bạn khó phát hiện người đó có bị tình trạng trên hay không. Chỉ khi nở nụ cười thì khuôn mặt sẽ kém thẩm mỹ hơn.
Đặc điểm nhận biết khớp cắn chéo
Nếu muốn nhận biết bản thân hoặc người xung quanh có bị khớp cắn chéo hay không, bạn dựa vào các đặc điểm sau:
– Hàm răng chia thành nhiều nhóm răng xô lệch: Các nhóm răng trên cung hàm không đồng đều mà có nhóm răng phủ bên ngoài, có nhóm lại thụt vào trong.
– Mất đối xứng giữa 2 hàm: Hàm trên và hàm dưới không có sự đối xứng về cả vị trí hay kẽ răng.
– Đường nối từ đỉnh mũi xuống khe răng cửa 2 hàm bị gấp khúc: Khi răng cửa hàm trên và hàm dưới bị lệch nhau, đường nối đỉnh mũi qua khe răng hàm trên, hàm dưới tới trung tâm không tạo đường thẳng mà bị gấp khúc.
– Các răng không cân đối: Toàn bộ răng trên cung hàm và kẽ răng đều không đạt sự hài hoà, cân đối.
– Mức độ tiếp xúc của các nhóm răng: Hai hàm răng không khớp nhau làm cho tình trạng mặt nhai tiếp xúc hàm trên với hàm dưới cũng ít hơn bình thường. Điều này tạo ra lực nhai không chuẩn và đầy đủ.
Có những loại khớp cắn chéo nào?

Ngoài cách nhận biết khớp cắn chéo ở trên thì theo các chuyên gia, khớp cắn chéo còn được chia thành 2 loại là khớp cắn chéo trước và khớp cắn chéo sau.
Khớp cắn chéo răng trước
Khớp cắn chéo răng trước là tình trạng có một hoặc vài răng trước hàm trên nằm ở phía trong so với răng hàm dưới khi hàm đóng lại. Răng trước gồm 4 răng cửa và răng nanh trên mỗi hàm răng. Tình trạng này có thể được điều trị bằng chỉnh nha. Tuy nhiên với trường hợp phức tạp hơn thì cần kết hợp giữa chỉnh nha và phẫu thuật mới đạt được kết quả tối ưu.
Khớp cắn chéo răng sau
Khớp cắn chéo răng sau là tình trạng khớp cắn có một hoặc vài răng sau hàm trên nằm phía ngoài hoặc phía trong so với răng hàm dưới khi đóng hàm. Tình trạng này xảy ra phổ biến hơn, có thể ở một hoặc nhiều răng, một bên miệng hoặc cả hai bên. Theo nghiên cứu, khớp cắn chéo răng sau ảnh hưởng đến khoảng 16% dân số và được trị liệu bằng khí cụ nong hàm.
Những nguyên nhân dẫn tới tình trạng khớp cắn chéo

Nhiều người băn khoăn không biết mình bị khớp cắn chéo là do đâu. Thực ra, nguyên nhân gây ra tình trạng trên có thể do một yếu tố hoặc tổng hợp của nhiều yếu tố sau:
Di truyền
Như bạn đã biết thì con cái nhận 50% gene của bố và mẹ, bao gồm cả sự sắp xếp của răng và cấu trúc xương hàm. Sự lệch lạc của khớp cắn chéo mang tính di truyền khá cao. Do vậy mà ông bà, cha mẹ hoặc họ hàng có đặc điểm sai lệch này thì khả năng sẽ truyền lại cho con cháu. Tuy không ngăn được trẻ em bị di truyền tình trạng cắn chéo nhưng bạn có thể trị liệu càng sớm càng tốt cùng với địa chỉ nha khoa uy tín.
Các yếu tố khác
Trong quá trình hình thành, phát triển của răng, nếu trẻ em giữ một số thói quen sau thì răng cũng dễ bị xô lệch:
– Thường xuyên bú ngón tay, đẩy lưỡi, dùng núm vú giả hoặc bình sữa kéo dài,… có thể làm thay đổi cấu trúc xương hàm.
– Thở bằng miệng khi ngủ, đặc biệt với trẻ có hàm trên nhỏ thì nguy cơ bị khớp cắn chéo càng cao hơn.
– Trẻ bị mất răng sữa quá sớm không chỉ làm giảm khả năng ăn nhai, phát âm mà còn làm cho răng vĩnh viễn mọc lên khấp khểnh, lệch lạc hoặc chen chúc.
– Trẻ bị mất răng sữa quá muộn cũng dễ làm cho răng vĩnh viễn mọc sai vị trí, buộc răng phải mọc ngược vào trong hoặc ra ngoài.
– Răng mọc chen chúc là khi thay răng, các răng sữa tuy lung lay nhưng vẫn bám chặt vào nướu, cản trở sự mọc lên của răng vĩnh viễn. Điều này làm cho răng vĩnh viễn bị thiếu chỗ, phải mọc chồng lên răng sữa. Hoặc nguyên nhân khác là do cung hàm bị hẹp, không đủ chỗ cho các răng mọc lên. Điều này dễ dẫn tới sai lệch khớp cắn.
Khớp cắn chéo ảnh hưởng đến sức khoẻ như thế nào?

Khớp cắn chéo không chỉ ảnh hưởng đến thẩm mỹ mà còn làm giảm khả năng ăn nhai, tạo gánh nặng lên hệ tiêu hoá. Ngoài ra chúng còn khiến cho nhiều người cảm thấy khó chịu bởi tác hại dưới đây.
Ảnh hưởng đến sức khoẻ
Như đã chia sẻ ở trên, khớp cắn chéo ảnh hưởng đến chức năng ăn nhai. Do hàm răng bị lệch lạc nên việc nhai nhỏ thức ăn gặp khó khăn. Về lâu dài, chúng sẽ ảnh hưởng đến hệ tiêu hoá, thậm chí nghiêm trọng hơn là bệnh dạ dày, viêm đại tràng,…
Bên cạnh đó, hàm răng khấp khểnh khiến cho quá trình chăm sóc răng miệng không được thuận lợi. Rất khó để bạn có thể làm sạch hoàn toàn vụn thức ăn, mảng bám bị đọng lại ở vị trí khuất sâu. Từ đó mà hình thành sâu răng, hôi miệng hoặc viêm nướu.
Ảnh hưởng đến đời sống
Ông cha ta khi xưa vẫn có câu “Cái răng, cái tóc là góc con người”. Răng đẹp, tóc đẹp giúp bạn cảm thấy tự tin hơn. Nhưng không may răng bị khớp cắn chéo sẽ làm mất đi tính thẩm mỹ. Đó là lý do nhiều người cảm thấy e ngại khi giao tiếp, ít cười và không dám thể hiện cá tính cũng như cống hiến hết mình. Việc tạo dụng mối quan hệ trong cuộc sống bị ảnh hưởng, thậm chí đánh mất cơ hội tốt để thăng tiến.
Cũng bởi những hậu quả trên mà các chuyên gia khuyên bạn khi phát hiện mình bị khớp cắn chéo thì nên đến gặp bác sĩ để tìm phương pháp tốt nhất.
Những phương pháp điều trị khớp cắn chéo
Để phát hiện tình trạng khớp cắn chéo, bác sĩ sẽ thăm khám kỹ lưỡng, bao gồm chụp phim X – quang hoặc sử dụng công nghệ hiện đại hơn. Sau đó sẽ đưa ra kế hoạch trị liệu phù hợp với tình trạng và điều kiện kinh tế. Hiện nay, có nhiều phương pháp điều trị khớp cắn chéo như:
Niềng răng

Niềng răng hay chỉnh nha là phương pháp sử dụng các khí cụ như mắc cài, dây cung, dây thun hoặc khay niềng trong suốt để dịch chuyển từng răng về đúng vị trí, đồng thời nắn chỉnh khớp cắn phù hợp nhất.
Với sự phát triển vượt trội của ngành nha khoa, bạn có thể chọn: niềng răng mắc cài kim loại thường, mắc cài kim loại tự đóng, mắc cài sứ thường, mắc cài sứ tự đóng, niềng răng trong suốt. Thời gian đeo niềng răng kéo dài từ 1.5 – 2 năm tuỳ tình trạng của mỗi người. Nếu muốn tìm phương pháp có tính thẩm mỹ cao nhất thì khay niềng trong suốt là hoàn hảo, sau đó đến mắc cài sứ. Tuy nhiên nếu tính điều kiện kinh tế thì mắc cài kim loại thường là rẻ nhất. Tuỳ thuộc vào tình trạng khớp cắn chéo cũng như sở thích, điều kiện tài chính mà bạn chọn công nghệ phù hợp nhé.
Khí cụ nong hàm

Với trường hợp bị khớp cắn chéo phức tạp, bác sĩ có thể kết hợp khí cụ nong hàm với niềng răng. Khí cụ này là công cụ chỉnh nha được sử dụng phổ biến ở trẻ em nhằm mở rộng cung hàm trên. Nong rộng hàm tạo điều kiện cho răng mọc đúng vị trí hơn. Vì răng, xương và vòm miệng của trẻ vẫn đang trong giai đoạn phát triển là thời điểm rất tốt để can thiệp. Nếu phát hiện hàm trên của trẻ bị hẹp lại dễ dẫn tới tình trạng lệch khớp, nhất là cắn chéo.
Tác dụng của nong hàm giúp mở cung răng trên, nhường chỗ cho các răng đang mọc. Dụng cụ này an toàn, thoải mái và hiệu quả.
Phẫu thuật hàm
Trường hợp khớp cắn chéo nghiêm trọng nhất thì phẫu thuật hàm (chỉnh hình) được sử dụng để điều trị tình trạng trên. Đặc biệt là có liên quan đến chứng thở bằng miệng khi ngủ. Muốn thực hiện được điều này đòi hỏi bác sĩ phải sở hữu kiến thức, chuyên môn, kinh nghiệm vững vàng cùng trang thiết bị hiện đại nhất.
Bọc răng sứ

Bọc răng sứ cũng có thể khả năng sửa chữa khớp cắn chéo nhẹ ở người lớn. Nếu khớp cắn của bạn đã ổn định và muốn thay đổi hình dáng, màu sắc của răng thì bọc răng sứ là rất thích hợp. Bác sĩ sẽ mài đi 1 lượng nhỏ men răng, sau đó dùng các mão răng giả hoặc mặt dán sứ veneer để phục hình lên là hoàn thiện.
Khớp cắn chéo ảnh hưởng không nhỏ đến thẩm mỹ, sự tự tin cũng như thoải mái khi ăn nhai. Nếu kéo dài còn ảnh hưởng nghiêm trọng hơn đến công việc, chất lượng cuộc sống. Hi vọng với thông tin ở trên sẽ giúp bạn hiểu rõ hơn về biểu hiện, nguyên nhân và các phương pháp khắc phục khớp cắn chéo hiệu quả.
