Làm cầu răng sứ có bị tiêu xương không luôn là thắc mắc được đặt ra của rất nhiều người. Và nếu bạn đang quan tâm về vấn đề trên, thì trong bài viết này, hãy cùng tìm hiểu nhé!
Mục lục
Tìm hiểu thế nào là hiện tượng tiêu xương?
Tiêu xương răng là hiện tượng suy giảm kích thước, mật độ xương hàm ngay tại chân răng. Bởi sau quá trình mất răng, xương hàm sẽ không nhận được sự kích thích từ hoạt động ăn nhai của bạn. Lâu dần, phần xương sẽ bị thoái hóa và tiêu biến đi. Nếu không kịp thời chữa trị, có thể sẽ gây nên những ảnh hưởng xấu đến sức khỏe răng miệng.
Mất răng lâu ngày không khắc phục sẽ khiến bạn bị tiêu xương răng
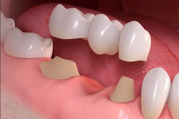
Phương pháp làm cầu răng sứ có bị tiêu xương không?
Là một trong những phương pháp chỉnh nha vô cùng phổ biến, làm cầu răng sứ hầu như có thể khắc phục được rất nhiều khuyết điểm khác nhau. Tuy nhiên theo bản chất, kỹ thuật này chỉ là cầu nối giữa hai răng cạnh bên. Và khi mất răng, xương hàm của bạn sẽ bị rỗng. Nếu áp dụng kỹ thuật trên, chắc chắn sẽ không có chân răng thay thế. Lâu dần sẽ dẫn đến tiêu xương răng.
Cầu răng sứ là phương pháp chỉnh nha phổ biến nhất hiện nay
Nói cách khác, vì xương hàm luôn cần một lực kích thích đều đặn thì mới có thể duy trì. Và nếu bạn làm cầu răng sứ thay thế cho vị trí đó; chắc chắn lực tác động đến sẽ không thể đi vào chân răng. Điều này chính là nguyên nhân khiến việc làm cầu răng sứ vẫn có khả năng tiêu xương như bình thường.
Vì sao cầu răng sứ không khắc phục được tiêu xương?
Như vậy, làm cầu răng sứ có bị tiêu xương không thì câu trả lời là có. Và nguyên nhân nào khiến phương pháp này không thể ngăn chặn được tình trạng trên?
- Có thể thấy, quá trình tiêu xương diễn ra như một quy luật tất yếu. Và việc làm cầu răng sứ chắc chắn sẽ không có chân răng thay thế cho chỗ trống trên. Khi đó, mô xương không còn điểm tựa sẽ ngày càng tụt dần xuống. Lâu ngày sẽ khiến bạn bị tiêu xương răng.
- Kỹ thuật làm cầu tăng thực chất là việc phục hình thân răng phía trên nướu. Vì thế phương pháp này hoàn toàn không thể xâm nhập vào chân răng. Và sau một thời gian ngắn, bạn có thể cảm nhận phần mô nướu bị lõm xuống. Đây chính là dấu hiệu của tiêu xương răng.
Một cách khác đề điều trị tiêu xương răng chính là trồng răng Implant
Ưu điểm khi làm cầu răng sứ
Làm cầu răng sứ có tốt không? Tuy không thể khắc phục hiệu quả tình trạng tiêu xương, nhưng phương pháp cầu răng sứ vẫn rất phổ biến. Theo đó, điều này có thể được giải thích bởi các ưu điểm tuyệt vời sau:
Đảm bảo an toàn cho răng
Làm cầu răng sứ được đánh giá là phương pháp phục hình an toàn cho răng. Điều này đồng nghĩa bạn sẽ không gặp bất kỳ kích ứng nào suốt quá trình sử dụng. Hơn nữa, độ tương thích sinh học với mô răng cũng rất cao nhờ vật liệu cầu răng có độ lành tính tốt.
Đạt hiệu quả thẩm mỹ cao
Đây chính là ưu điểm nổi bật khiến cầu răng sứ rất được yêu thích. Với phương pháp này, bạn sẽ sở hữu kích thước, màu sắc và hình dạng răng vô cùng hoàn hảo. Một điểm cộng khác đó chính là thời gian tiến hành kỹ thuật này cũng rất nhanh chóng.
Cầu răng sứ có rất nhiều ưu điểm khác nhau
Chi phí hợp lý
Làm cầu răng sứ hết bao nhiêu tiền? So với rất nhiều phương pháp khác, làm cầu răng sứ có giá thành phải chăng hơn. Ưu điểm về chi phí này giúp nhiều khách hàng có thể khắc phục khuyết điểm nhanh chóng, dễ dàng hơn rất nhiều.
Cầu răng sứ có độ bền cao
Lý do cuối cùng khiến cầu răng sứ trở nên phổ biến đó chính là độ bền vô cùng tốt. Hầu như mọi cầu răng đều có khả năng chịu được lực tác động tương tự như răng thật. Điều này giúp bạn đảm bảo quá trình ăn nhai sẽ diễn ra bình thường và không gặp bất cứ lo lắng nào khác.
