Răng miệng không chỉ thực hiện chức năng ăn nhai mà còn có chức năng phát âm và chức năng thẩm mỹ. Vì vậy, chắc hẳn ai trong chúng ta cũng đều mong muốn có một hàm răng hoàn hảo.
Thế nhưng, rất nhiều người có tình trạng răng lệch lạc như răng hô, móm, thưa, khấp khểnh. Niềng răng là một trong những giải pháp hiệu quả để họ sở hữu hàm răng thẳng đều. Nhưng một trong những thắc mắc mà nhiều người quan tâm nhất đó là niềng răng có bị tụt lợi hay không và ngược lại, nếu đang bị tụt lợi có thể niềng răng được hay không. Trong bài viết ngày hôm nay, chúng tôi sẽ phân tích làm rõ mối quan hệ giữa việc niềng răng và bệnh tụt lợi.

Mục lục
Tụt lợi là gì? Có ảnh hưởng nghiêm trọng gì không?
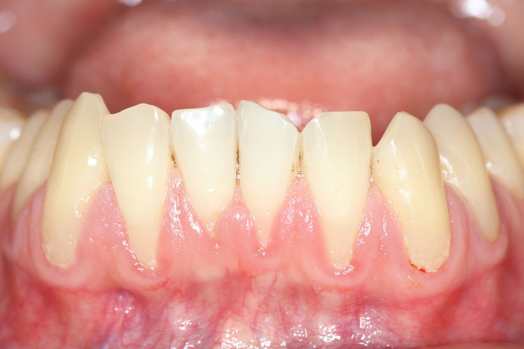
Tình trạng tụt nướu xảy ra khi phần nướu bao quanh răng của bạn bị co lại, làm lộ ra nhiều chân răng hoặc thậm chí cả chân răng. Tụt nướu sinh lý khi chúng ta già đi là điều bình thường. Nó thường diễn ra rất từ từ, âm thầm, vì vậy bạn thậm chí có thể không nhận thấy nướu của mình bị tụt lại.
Nếu tình trạng tụt nướu xảy ra đột ngột hoặc lan rộng hơn, bạn nên hẹn gặp nha sĩ. Họ sẽ xác định nguyên nhân gây ra tình trạng tụt lợi của bạn và nếu cần thiết, giới thiệu bạn đến bác sĩ nha chu (chuyên gia về nướu) để điều trị.
Nếu không được điều trị, tình trạng tụt nướu nghiêm trọng có thể ảnh hưởng đến các mô nâng đỡ và cấu trúc xương, răng dễ bị lung lay, cuối cùng dẫn đến mất răng do mất gốc răng.
Ngoài ra, tụt nướu có thể khiến răng nhạy cảm hơn, những tác động nhiệt độ đột ngột hay cơn gió lùa cũng khiến răng ê buốt, khó chịu.
Những nguy cơ gây tụt lợi
- Nướu bị tụt có thể do một số nguyên nhân, bao gồm:
- Vệ sinh răng miệng không sạch khiến phát sinh các bệnh lý nha khoa như viêm nướu, viêm nha chu, mòn cổ chân răng, sâu răng.
- Chải răng quá mạnh trong thời gian dài
- Cao răng và mảng bám tích tụ nhiều ở chân răng
- Người cao tuổi hoặc hút thuốc nhiều có nguy cơ tụt nướu cao hơn người bình thường.
- Một số trường hợp viêm nướu do thay đổi nội tiết tố cũng dẫn đến tụt lợi
- Yếu tố gen di truyền trong gia đình có tiền sử tụt lợi
Đọc thêm: Tụt lợi nặng điều trị thế nào?
Tìm hiểu về kỹ thuật niềng răng
Hiện nay sự liên quan giữa kỹ thuật niềng răng và sự tụt lợi còn đang là vấn đề gây tranh cãi, chúng ta sẽ tìm hiểu kỹ hơn trong nội dung dưới đây:
3.1 Niềng răng là gì?

Niềng răng là những thiết bị được sử dụng trong chỉnh hình răng như mắc cài, dây cung, khay niềng để điều chỉnh và làm thẳng răng, giúp định vị chúng phù hợp với khớp cắn của một người, đồng thời nhằm mục đích cải thiện sức khỏe răng miệng. Niềng răng cũng sửa chữa những khoảng trống, khiến hàm răng cân đối và đều đặn hơn.
Thời gian niềng răng có thể kéo dài từ 1-3 năm tùy thuộc vào từng trường hợp cụ thể, căn cứ trên mức độ chỉnh nha có phức tạp không và theo lộ trình bác sĩ thảo luận với bạn.
Xem chi tiết: Các phương pháp niềng răng hiện nay
3.2 Ích lợi của việc niềng răng
Niềng răng để nâng cao tính thẩm mỹ cho hàm răng
Điều trị chỉnh nha sẽ làm thẳng răng của bạn hoặc di chuyển chúng vào vị trí tốt hơn. Điều này không chỉ giúp cải thiện vẻ ngoài và điều chỉnh những sai lệch khớp cắn mà còn có thể giúp làm sạch chúng dễ dàng hơn.
Một số người có răng bị hô. Những chiếc răng này có thể được di chuyển trở lại thành hàng (bên trong môi) để bảo vệ chúng khỏi tác động từ bên ngoài.
Ngăn ngừa các bệnh lý răng miệng
Răng khấp khểnh và chen chúc có thể khiến thức ăn dễ dàng kẹt lại trong quá trình ăn uống. Niềng răng có tác dụng giúp thuận lợi cho việc làm sạch răng, từ đó loại bỏ nguy cơ mắc các bệnh lý răng miệng nguy hiểm.
Việc nắn chỉnh răng có thể lấp kín những khoảng trống do mất răng, bạn không cần tốn kém thêm chi phí để trồng răng giả nữa.
Niềng răng nâng cao chất lượng ăn uống
Niềng răng giúp cân bằng khớp hàm một cách chính xác, giúp cải thiện chất lượng ăn uống của bạn rất nhiều. Bạn có thể thoải mái ăn, nhai thức ăn mà không bị đau nhức xương hàm hay lo lắng việc về lâu dài hàm răng sẽ bị xô lệch do sang chấn khớp cắn. Thức ăn được nghiền kỹ hơn sẽ rất tốt cho dạ dày.
Niềng răng để cải thiện phát âm
Bố mẹ nên đưa các con đi khám răng miệng để được bác sĩ phát hiện sớm các sai lệch ở xương răng để có phương án nắn chỉnh nha sớm, tránh ảnh hưởng đến phát âm của trẻ. Sở dĩ như vậy bởi, giọng nói của chúng ta bị ảnh hưởng bởi cấu trúc răng, môi, lưỡi, việc điều chỉnh răng để hàm răng đều đặn sẽ giúp phát âm chuẩn hơn, giọng nói dễ nghe hơn, nâng cao hiệu quả trong giao tiếp
Chính vì niềng răng đem lại những lợi ích to lớn, có thể đem lại cho bạn một diện mạo hoàn toàn mới, đồng thời cải thiện chức năng hoạt động của hàm răng đáng kể. Thêm nữa, trình độ nha khoa ngày càng tiên tiến, việc thực hiện kỹ thuật niềng răng không còn quá phức tạp, lại có rất nhiều lựa chọn như sử dụng các loại mắc cài thẩm mỹ…Tất cả những lý do này khiến cho khách hàng quyết định lựa chọn niềng răng ngày càng nhiều. Tuy nhiên, cũng không ít người lo ngại những vấn đề xảy ra sau khi niềng răng, liệu răng lợi có bị tụt trong và sau quá trình niềng răng không?
Niềng răng có giúp chữa tụt nướu không?

Thật không may, niềng răng không thể chữa khỏi hoặc đảo ngược tình trạng tụt lợi. Những gì niềng răng có thể làm là ngăn ngừa tình trạng tụt nướu cho một số bệnh nhân:
Bệnh nướu răng là nguyên nhân chính gây ra tình trạng tụt nướu, và sức khỏe răng miệng kém là một yếu tố góp phần lớn. Răng thẳng giúp bạn dễ dàng tiếp cận tất cả các bề mặt của răng để giữ cho răng sạch sẽ và khỏe mạnh.
Niềng răng điều chỉnh khớp hàm đối xứng giữa hàm trên và hàm dưới giúp giảm sang chấn khớp cắn, giảm nguy cơ gây tụt lợi và tổn thương nướu.
Có thể bạn quan tâm:
Niềng răng có gây tụt nướu không?
Theo các nghiên cứu, phân tích từ các nhà khoa học thì niềng răng không gây ra tụt nướu. Nhưng thực thế cho thấy, điều này vẫn có thể xảy ra nhưng ở một mức độ rất thấp. Theo phân tích, niềng răng có thể khiến nướu bị co vào tối đa là 0.5 mm, được xếp vào dạng tụt nướu nhẹ, không tạo nên sự khác biệt quá lớn cho hàm răng khi nhìn bằng mắt thường.
Lý do niềng răng có thể gây ra tụt lợi bao gồm:
Các thao tác nắn, chỉnh, co kéo trong niềng răng đơn thuần sẽ không gây tụt nướu. Tuy nhiên, việc bạn chăm sóc răng tốt như thế nào trong quá trình điều trị chỉnh nha sẽ có tác động. Việc đeo mắc cài trong một thời gian dài sẽ ít, nhiều cản trở việc chăm sóc, vệ sinh răng miệng của bạn. Bạn sẽ cần phải làm sạch cẩn thận xung quanh mắc cài và dọc theo đường viền nướu để loại bỏ mảng bám mỗi ngày. Mảng bám răng là một lớp màng dính, không màu, hình thành từ vụn thức ăn và tích tụ trên răng của chúng ta. Nó chứa hàng triệu vi khuẩn, và nếu không được loại bỏ, nó có thể gây sâu răng và các bệnh về nướu.
Các bệnh về nướu, răng phát sinh do vệ sinh răng miệng không sạch sẽ mới là nguyên nhân chính gây ra hiện tượng tụt lợi.
Nếu bị tụt nướu thì có thể niềng răng được không?

Điều kiện để niềng răng đạt kết quả như mong đợi là loại bỏ các bệnh lý răng miệng đang tồn tại và tuổi tác người niềng răng không quá lớn.
Các trường hợp viêm nha chu quá nặng thì việc niềng răng là bất khả thi vì độ chắc chắn của răng ảnh hưởng nhiều đến thành công của ca niềng răng. Nếu viêm nha chu khiến lợi tụt sâu, răng lỏng lẻo, có dấu hiệu tiêu ổ xương răng thì dù có thực hiện nắn chỉnh, vẫn có thể bị mất răng.
Tuy nhiên, không thể nói rằng, tất cả các trường hợp tụt lợi đều không thể niềng răng. Bác sĩ chuyên khoa sẽ đánh giá mức độ tụt lợi và chất lượng nướu răng của bạn. Nếu nướu vẫn khỏe mạnh, lợi tụt nhẹ và không có dấu hiệu viêm nhiễm thì vẫn thực hiện niềng răng bình thường.
Trong quá trình điều trị của bạn, bác sĩ sẽ theo dõi chặt chẽ đường viền nướu của bạn và thực hiện các thao tác nắn chỉnh, di chuyển răng của bạn một cách chậm rãi và nhẹ nhàng giúp giảm nguy cơ lợi bị tụt sâu hơn.
Tất nhiên không thể đảm bảo rằng tình trạng suy thoái của bạn sẽ không trở nên tồi tệ hơn. Nếu điều này xảy ra, chúng ta cũng không cần quá bi quan vì còn rất nhiều phương pháp điều trị tụt lợi hiệu quả, có thể áp dụng sau quá trình niềng răng như ghép và tạo hình lợi.
Cách chăm sóc răng miệng khi niềng răng để ngăn ngừa tụt lợi

Điều mà bạn cần chú ý nhất khi đang sử dụng mắc cài niềng răng là phải vệ sinh răng thường xuyên và đúng cách như sau:
– Đánh răng ít nhất 3 lần/ngày vào lúc vừa thức dậy buổi sáng, buổi trưa sau khi ăn 30 phút và trước khi đi ngủ.
– Dùng bàn chải có lông mềm hoặc bàn chải chuyên dụng cho người niềng răng, thay thường xuyên sau 3 tháng. Lưu ý không cà phần mặt nhựa của bàn chải vào mắc cài hoặc nếu dùng bàn chải điện cần điều chỉnh tốc độ vừa phải, tránh làm rơi mắc cài.
– Chải răng nhẹ nhàng hình vòng xoáy trên bề mặt răng có mắc cài. Bạn có thể luồn mặt lông bàn chải vào mặt dưới của dây thép để làm sạch thật kỹ răng. Vệ sinh mặt trong và mặt nhai của răng và không quên chải lưỡi.
– Dùng chỉ tơ nha khoa và nước súc miệng: Để làm sạch những vị trí sâu trong khe kẽ răng, có thể dùng chỉ nha khoa cùng với dụng cụ luồn chỉ để làm sạch răng sau mỗi bữa ăn. Nước súc miệng chuyên dùng cho nha khoa hoặc nước muối loãng đều có tác dụng loại bỏ mảng bám, vi khuẩn trong khoang miệng.
– Dùng kem đánh răng tốt, có tác dụng làm sạch và bảo vệ răng, nướu.
– Hạn chế ăn uống những thực phẩm nhiều đường nhằm tránh sâu răng và cao răng, nhưng thức ăn ngọt này tạo nên điều kiện lý tưởng cho vi khuẩn sinh sôi hoạt động gây ra các bệnh lý nhiễm trùng, tăng nguy cơ tụt nướu.
– Không nên ăn các thức ăn quá cứng hoặc dính như kẹo cao su, caramen…có thể ảnh hưởng đến mắc cài răng.
Chất lượng của cơ sở nha khoa rất quan trọng, một nơi khám chữa nha khoa uy tín sẽ khám xét tổng quát và tư vấn rất kỹ cho khách hàng trước khi niềng răng. Bạn cần được giải quyết triệt để các vấn đề răng miệng đang tồn tại như vôi răng, bệnh lý răng miệng nguy hiểm như sâu răng, viêm nướu, viêm nha chu…sau đó mới tiến hành niềng răng.
Người niềng răng cần chăm chỉ thăm khám theo chỉ định để bác sĩ có thể kiểm soát được các vấn đề có thể phát sinh cũng như biến chứng có thể xảy ra trong quá trình đeo niềng.
Qua bài phân tích trên đây, hy vọng bạn đọc có thể hiểu hơn về sự liên quan giữa bệnh lý tụt lợi và quá trình nắn chỉnh nha. Tuy nhiên, với mỗi trường hợp cụ thể, việc niềng răng và những ảnh hưởng đến nướu có thể khác nhau. Cách tốt nhất khi bạn quyết định niềng răng, hãy đến bác sĩ chuyên khoa để được tư vấn thật kỹ. Chúc bạn thật nhiều sức khỏe!
Đọc thêm: Sau khi niềng xong, bạn cần làm gì để răng không xô lệch trở lại như cũ
