Tụt lợi và lung lay răng liên quan đến nhau như thế nào? Nếu bạn bị đau nướu, sưng nướu hoặc tăng độ nhạy cảm của răng, đặc biệt là dọc theo đường viền nướu, bạn có thể đang bị ...
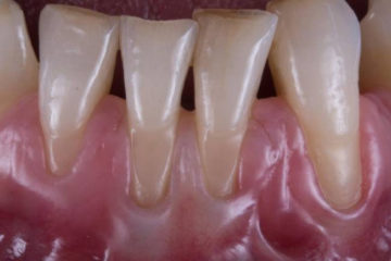
Tụt lợi nhẹ – dấu hiệu, nguyên nhân và cách khắc phục Tụt lợi là tình trạng nướu bị tụt lại khỏi bề mặt răng, làm lộ ra bề mặt chân răng. Đó chỉ là một dạng của bệnh nướu ...
Niềng răng liệu có thực sự là nguyên nhân gây tụt lợi? Răng miệng không chỉ thực hiện chức năng ăn nhai mà còn có chức năng phát âm và chức năng thẩm mỹ. Vì vậy, chắc hẳn ai ...
Tụt lợi có chữa khỏi được không? Tụt nướu là một vấn đề răng miệng phổ biến và diễn ra âm thầm, biểu hiện không quá rõ rệt như những căn bệnh khác. Cũng ...
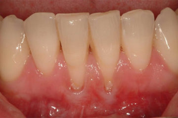
Bị tụt lợi hở chân răng phải làm sao? Tụt lợi là vấn đề răng miệng mà rất nhiều người đang gặp phải. Tụt lợi khiến răng dài hơn, chân răng lộ rõ khiến hàm ...
Chữa tụt lợi bằng đông y có hiệu quả không? Các vấn đề về răng miệng gây ra nhiều phiền toái trong cuộc sống của chúng ta. Một trong những bệnh lý răng miệng thường ...
Tụt lợi ở trẻ em có ảnh hưởng như thế nào? Tụt lợi hay còn gọi là teo rút lợi là bệnh lý răng miệng có thể xảy ra ở bất kỳ độ tuổi nào. Theo thống kê, đối tượng bị ...
Nhận biết tụt lợi nặng – tụt lợi nặng chữa thế nào? Xã hội hiện đại, con người ngày càng biết cách chăm sóc sức khỏe và chăm chút ngoại hình. Ai cũng muốn có một hàm răng ...
Bị tụt lợi thì uống thuốc gì? – Tìm hiểu ngay Tụt lợi là bệnh lý răng miệng không còn xa lạ với nhiều người. Nếu bị tụt lợi thì cần phải làm gì? Uống hay bôi thuốc ...