Xã hội hiện đại, con người ngày càng biết cách chăm sóc sức khỏe và chăm chút ngoại hình. Ai cũng muốn có một hàm răng khỏe đẹp, rạng rỡ. Tuy nhiên, các vấn đề về răng miệng luôn tồn tại và có thể xảy ra với bất kỳ ai, trong đó có bệnh lý tụt lợi. Bạn đọc nào đã từng bị tụt lợi hoặc tìm hiểu về vấn đề này có thể hiểu được tác hại của nó đối với sức khỏe răng miệng và hình thức thẩm mỹ của hàm răng đến thế nào. Đặc biệt, khi tình trạng tụt lợi đã diễn tiến đến mức độ nặng, những tác hại càng rõ rệt hơn, chúng ta sẽ cùng tìm hiểu về tình trạng tụt lợi nặng trong bài viết dưới đây nhé.
Mục lục
Phân biệt tụt lợi theo nguyên nhân
Tụt lợi sinh lý

Có thể bạn đã biết, khi tuổi tác của chúng ta ngày càng cao thì mức độ lão hóa của các cơ quan, bộ phận trong cơ thể cũng diễn ra với tốc độ ngày một tăng. Tụt nướu sinh lý hay tụt nướu ở người cao tuổi là hiện tượng suy thoái mô nướu, biểu hiện rõ rệt ở độ tuổi từ 50 trở đi.
Hiện tượng tụt lợi này là không thể tránh khỏi và diễn ra âm thầm trong một thời gian dài. Chúng ta khó có thể chữa trị để dừng quá trình này lại mà chỉ cố gắng chăm sóc răng miệng để quá trình tụt lợi sinh lý này diễn ra chậm hơn.
Tụt lợi bệnh lý
Bệnh nha chu

Hầu hết người lớn đều mắc bệnh nha chu, bệnh nha chu nói chung tiến triển chậm, lúc đầu chủ yếu là viêm nướu, trừ trường hợp chảy máu khi đánh răng không thường xuyên thì không có nhiều triệu chứng nên không dễ nhận thấy.
Viêm nướu khi không được chữa trị sẽ phát triển thành viêm nha chu, lúc này có thể xuất hiện mùi hôi miệng nặng, áp xe nha chu nhiều lần, răng lung lay, khe hở giữa các răng ngày càng lớn, nhiều trường hợp nặng có thể bị tiêu xương ổ răng rồi rụng răng. Nếu bệnh nhân kịp thời khám chữa ở giai đoạn này, bác sĩ có thể kiểm soát được tình trạng viêm nhiễm không bị diễn biến xấu đi, tuy nhiên mô nha chu bị tổn thương (bao gồm cả tụt nướu) thì rất khó phục hồi hoàn toàn.
Đánh răng không đúng phương pháp
Phương pháp chải răng không đúng cách không những không bảo vệ được răng mà còn làm tổn thương răng và các mô nha chu. Ví dụ, bàn chải đánh răng quá cứng, các hạt mài dày trong kem đánh răng và lực chải răng quá mạnh có thể gây tụt nướu.
Phục hình không tốt và chỉnh nha không đúng cách
Kỹ thuật làm răng giả làm không tốt có thể khiến viền răng giả kích ứng vào nướu và khiến nướu bị co rút. Lực tác động quá mạnh lên bộ chỉnh nha cũng có thể gây tụt nướu.
Đọc thêm: Nguyên nhân nào khiến niềng răng bị tụt lợi?
Di chứng của việc phẫu thuật răng không đúng cách
Các yếu tố khác
- Lực cắn quá mạnh do nhiều nguyên nhân khác nhau cũng có thể khiến răng di chuyển bất thường đồng thời nướu bị co kéo.
- Môi trường ô nhiễm, nhiễm độc asen, chì có thể gây viêm nha chu, phù nề nướu và teo nướu.
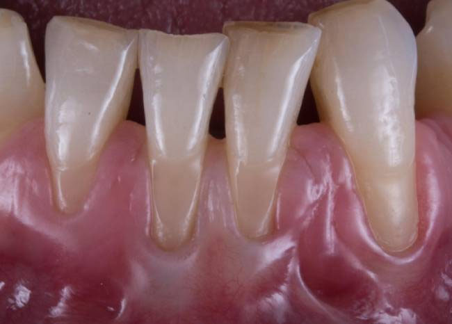
- Mô tả tình trạng tụt lợi nặng
Tụt lợi nặng là gì?
Tụt lợi nặng là tình trạng phần nướu vốn che phủ, bao bọc chân răng bị co rút sâu để lộ hẳn phần chân răng, có thể quan sát thấy bằng mắt thường.
Theo các chuyên gia, tụt nướu nặng thường là biến chứng của bệnh lý nha chu, viêm lợi thường rất nặng do ổ chân răng đã bị tổn thương lâu dài, không chỉ gây tụt nướu, các bệnh lý nha chu này còn có thể tác động rất xấu đến sức khỏe như gây mất răng và các bệnh lý nghiêm trọng khác có thể kể đến như tiểu đường, tim mạch, huyết áp…
Có thể bạn quan tâm: Tụt lợi và lung lay răng liên quan đến nhau như thế nào?
Triệu chứng khi bị tụt lợi nặng

Tụt lợi nặng thường có các biểu hiện sau: màu sắc của lợi nhợt nhạt, lợi tụt sâu, chân răng lộ rõ, khoảng trống giữa các kẽ răng rộng ra, chảy máu lợi, hôi miệng.
Trường hợp tụt nướu khi đang bị các bệnh nha chu, viêm chân răng, viêm nướu có thể xuất hiện đau nhức chân răng, sưng nướu hoặc nướu có mủ.
Tụt lợi nặng có thể gây ra những nguy hại gì?
Nguyên nhân mất răng
Nướu bị teo rút khiến khả năng cung cấp chất dinh dưỡng đến xương ổ răng ngày càng giảm dần, xương ổ răng sẽ co lại và ngắn hơn, nướu bị co rút dẫn đến giảm độ ổn định và răng bắt đầu lung lay, đồng thời tụt lợi khiến cho chân răng nông và răng dài ra. Với sự tiêu xương và tụt nướu ngày càng tăng, răng sẽ tự nhiên bị rụng.
Nguyên nhân quá mẫn cảm răng
Tụt nướu khiến chân răng bị lộ ra ngoài, không còn lớp men bám trên bề mặt chân răng, khi không có lớp nướu bảo vệ, phần chân răng bị lộ ra không chỉ dễ bị mòn trong quá trình đánh răng mà còn rất nhạy cảm với nhiệt, lạnh, và kích thích axit. Nó được gọi là “quá mẫn cảm ngà” trong răng miệng.
Gây ra các bệnh viêm miệng khác nhau
Sau khi nướu bị tụt xuống, chúng không còn có thể bao bọc chặt chân răng như trước, kéo theo đó là mô nha chu cũng bị lộ ra ngoài, nhiều loại vi khuẩn và cao răng trong miệng xâm nhập trực tiếp vào mô nha chu và gây viêm nha chu. Bệnh viêm nha chu sẽ làm trầm trọng thêm tình trạng teo nướu và đẩy nhanh quá trình tiêu xương ổ răng, tạo thành một vòng luẩn quẩn, rất khó khăn để có thể điều trị khỏi.
Ảnh hưởng đến vẻ ngoài và khả năng nhai của răng.
Tình trạng tụt nướu khiến chân răng bị lộ ra, răng trông dài ra gây mất thẩm mỹ. Hơn nữa, tụt nướu còn gây khó khăn trong việc ăn, nhai thức ăn, làm giảm chất lượng ăn uống, ảnh hưởng tới sức khỏe.
Tụt lợi nặng có chữa khỏi không?
Khi bệnh lý tụt lợi đã diễn biến đến mức độ nặng, việc chữa trị sẽ phức tạp hơn nhiều, bạn cần tìm đến cơ sở nha khoa để được điều trị bằng các phương pháp khoa học chính thống. Bạn đọc lưu ý không tù mù để mặc bệnh không chữa hoặc tự chữa bằng các mẹo vặt dân gian. Bởi vì, những biện pháp đó không giải quyết triệt để được vấn đề. Sau đây là các phương pháp điều trị thường được áp dụng khi khám chữa nha khoa:
Lấy cao răng
Cao răng hình thành từ những mảng bám bị vôi hóa, bám chắc quanh chân răng và ăn sâu xuống dưới khiến cho nướu tách rời bề mặt răng, không còn khả năng bám dính và tụt xuống. Loại bỏ cao răng giúp loại bỏ vi khuẩn trú ngụ, ngăn chặn nguy cơ gây tụt lợi.
Tìm hiểu thêm: Lấy cao răng siêu âm hoạt động theo cơ chế nào?
Phẫu thuật tạo hình nướu

Các biện pháp phẫu thuật tạo hình giúp bù đắp phần lợi bị tụt giúp che phủ chân răng và cổ răng bằng tổ chức ghép tự thân hoặc vật liệu ghép nhân tạo.
Các loại phẫu thuật nướu phục hồi tụt lợi gồm:
- Phẫu thuật ghép vạt lợi có chân nuôi thường được áp dụng khi mô mềm tại chỗ đủ để phục hình lợi.
- Ghép lợi tự do tự thân là phương pháp sử dụng các tổ chức ghép tự thân tại vùng hàm ếch, hoặc các vùng lân cận.
- Ghép lợi bằng liên kết dưới biểu mô là sự kết hợp giữa ghép vạt lợi có chân nuôi và ghép lợi tự do tự thân.
- Tái tạo mô có hướng dẫn bằng màng sinh học áp dụng cho các trường hợp co rút lợi mà tổ chức ở kẽ răng còn tốt.
Các phương pháp phẫu thuật nướu kể trên là phương pháp tốt nhất để phục hồi thẩm mỹ và chức năng bao bọc chân răng của nướu. Hầu hết các ca tụt lợi nặng đều được chỉ định một trong các biện pháp phẫu thuật trên.
Đọc thêm: Thuốc điều trị tụt lợi có những loại nào?
Có thể bạn muốn biết: Tụt lợi có tự khỏi không? Làm gì khi bị tụt lợi chân răng?
Cách ngăn ngừa tụt lợi
- Xây dựng thói quen vệ sinh răng miệng tốt. Nên sử dụng kem đánh răng và bàn chải đánh răng có khả năng hỗ trợ điều trị tụt nướu. Đánh răng 2-3 lần một ngày, một lần trước khi đi ngủ vào buổi tối là điều cần thiết. Sử dụng nước súc miệng chuyên dùng hoặc nước muối loãng để súc miệng hàng ngày.
- Phòng ngừa và điều trị các bệnh viêm nhiễm răng miệng. Các bệnh lý như viêm nha chu, vôi răng, loét miệng, viêm nướu, áp xe nướu, mảng bám và làm răng giả không phù hợp đều là những nguyên nhân gây kích ứng dẫn đến tụt nướu. Vì vậy, bạn nên đến bệnh viện để khám định kỳ và điều trị thường xuyên. Đồng thời tại đây, bạn cũng được hướng dẫn chi tiết cách chăm sóc răng miệng hiệu quả.
- Điều trị các bệnh lý có thể biến chứng gây tụt lợi. Ví dụ, rối loạn nội tiết có thể gây teo nướu; thiếu máu và thiếu vitamin C dễ gây chảy máu nướu và giảm độ đàn hồi của nướu, bệnh nhân tiểu đường dễ bị viêm miệng; các bệnh nghiêm trọng như bệnh bạch cầu cũng có thể gây teo nướu. Sau khi bệnh gốc được chữa khỏi, tình trạng tụt nướu cũng được cải thiện.
- Nghiêm túc ngăn chặn ô nhiễm môi trường. Nhiễm độc asen, chì và các chất độc khác có thể gây viêm nha chu, phù nề nướu và teo nướu, vì vậy bạn cần chú ý đến chất lượng công việc và môi trường sống, tránh tiếp xúc với các chất độc hại.
- Chế độ ăn uống phù hợp, giàu chất dinh dưỡng, bổ sung hoa quả để cung cấp nhiều vitamin cần thiết, giúp nướu và răng luôn vững chắc.
Có thể bạn quan tâm: Tụt lợi là gì? Tụt lợi chân răng có ảnh hưởng gì không?
Như vậy, qua những thông tin từ bài viết, chúng ta có thêm kiến thức về bệnh lý tụt lợi nói chung và tình trạng tụt lợi nặng nói riêng. Tụt lợi nặng chủ yếu đến từ bệnh nha chu, đánh răng không đúng phương pháp, phục hình không tốt và chỉnh nha không đúng cách. Bài viết cũng cho chúng ta thấy tụt lợi có thể gây ra những ảnh hưởng nghiêm trọng thế nào đến sức khỏe. Vậy nên mọi người hãy cẩn thận với những triệu chứng này và thực hiện phòng ngừa thật tốt nhé.
