Tụt lợi là tình trạng nướu bị tụt lại khỏi bề mặt răng, làm lộ ra bề mặt chân răng. Đó chỉ là một dạng của bệnh nướu răng (nha chu). Tụt lợi được coi là một trong những hậu quả nghiêm trọng của tình trạng răng miệng kém, có thể dẫn đến mất răng. Có nhiều phương pháp điều trị khác nhau, tùy thuộc vào mức độ nghiêm trọng của tình trạng mất mô. Bệnh cần được chẩn đoán và điều trị càng sớm, kết quả càng tốt. Bài viết này sẽ bàn về dấu hiệu, nguyên nhân và cách khắc phục tình trạng tụt lợi nhẹ.
Mục lục
Tụt lợi biểu hiện như thế nào, các cấp độ của tụt lợi?
Khi răng lợi khỏe mạnh, nướu sẽ ôm chặt chân răng làm cơ sở giữ răng vững chắc và bảo vệ phần chân răng khỏi sự ăn mòn của axit. Tuy nhiên, sự bao bọc này sẽ mất đi khi nướu bị tụt. Tùy vào nguyên nhân, cơ địa và diễn biến của các yếu tố gây tụt nướu có thể chia thành 2 cấp độ tụt lợi:
Tụt lợi nặng

Phần lợi bị teo rút nhiều khỏi bề mặt chân răng, chân răng chìa ra, thân răng dài ra thấy rõ bằng mắt thường, đi kèm các biểu hiện lợi có màu nhợt nhạt, sưng phồng, chảy máu và đau nhức lợi. Luôn có cảm giác hơi thở có mùi hôi thì nên đi khám nha khoa ngay vì tình trạng răng miệng của bạn đang ở mức báo động đấy.
Đa phần các trường hợp bị tụt lợi nặng đều đang tồn tại các bệnh lý nướu nghiêm trọng như viêm lợi, viêm nha chu, sâu cổ răng. Bởi vì, phản ứng viêm và sự kéo dài của tình trạng này có thể làm trầm trọng hơn chứng tụt lợi. Hãy nhanh chóng điều trị để không khiến lợi bị tụt nặng hơn, ảnh hưởng xấu đến sức khỏe và ngoại hình.
Có thể bạn muốn biết: Tụt lợi chân răng có ảnh hưởng gì không?
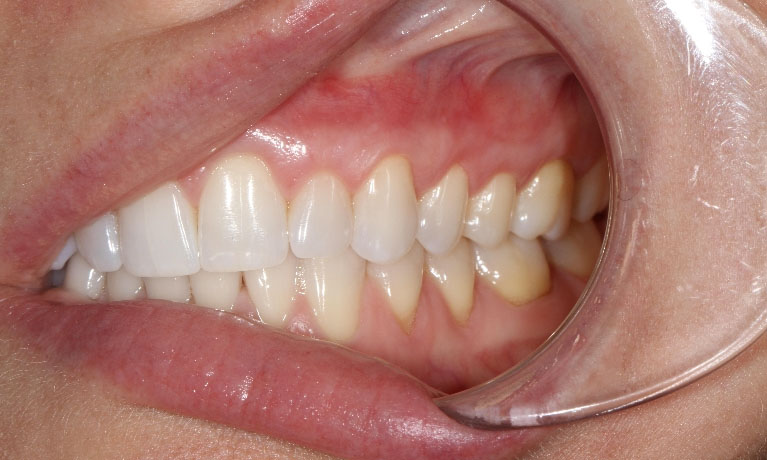
Tụt lợi nhẹ

Mức độ co rút của lợi được đo lường dưới 3mm thì được đánh giá là tụt lợi ở mức độ nhẹ. Đôi khi, bệnh tụt lợi nhẹ chỉ diễn ra âm thầm, không có quá nhiều biểu hiện nên chúng ta có thể không thể quan sát được. Tuy nhiên, nếu không phát hiện và khắc phục sớm thì về lâu dài cũng sẽ đưa đến hậu quả xấu do tụt lợi dần nghiêm trọng hơn.
Nguyên nhân phổ biến gây tụt lợi nhẹ
Sau đây là các yếu tố có thể khiến cấu trúc nướu thay đổi từ từ gây ra hiện tượng tụt lợi nhẹ:
Tụt lợi do tác động lực mạnh: Những tác động cơ học lên nướu trong một thời gian dài có thể khiến nướu bị xê dịch, độ bám dính giảm gây tụt nướu. Những thói quen chải răng quá mạnh, xỉa răng bằng tăm cứng gây tổn thương lợi, bạn nên thay đổi thói quen này.
Tụt lợi do nắn chỉnh nha: Hiện nay dịch vụ nắn chỉnh răng đang rất phổ biến vì nó có thể cải thiện đáng kể cho các hàm răng bị xô lệch, hô, móm…Tuy nhiên, nếu thực hiện không đúng kỹ thuật, nướu răng có thể bị tác động do bị co kéo và gây tụt lợi nhẹ.
Sang chấn do sai lệch khớp răng: Một hàm răng không có sự đối xứng, đồng đều giữa hàm trên và hàm dưới cũng có nguy cơ bị tụt lợi trong quá trình nhai thức ăn. Biểu hiện tụt lợi do sang chấn khớp cắn được ghi nhận ở mức độ không quá nghiêm trọng.
Thói quen nghiến răng khi ngủ: Tương tự như lực cơ học tác động lên nướu, tật nghiến răng vô thức trong lúc ngủ cũng khiến nướu dễ bị xê dịch nhẹ.
Suy thoái nướu do tuổi tác: Khi tuổi tác của bạn ngày càng cao cũng là lúc các tế bào, mô bắt đầu xuất hiện sự lão hóa. Không ngoại trừ hỏi quy luật đó, các mô nâng đỡ chân răng cũng dần suy thoái, gây ra hiện tượng teo rút nướu hay tụt lợi. Hiện tượng tụt lợi do tuổi tác được đánh giá là tụt lợi nhẹ vì nó diễn ra lặng lẽ, có thể bắt đầu ngay từ khi bạn ngoài 30 tuổi và quá trình này biểu hiện rất chậm. Tuy nhiên, rất khó khăn để bạn có thể làm ngừng lại hiện tượng tụt lợi sinh lý này.
Làm thế nào để khắc phục tình trạng tụt lợi nhẹ?
Phải nói rằng, tụt lợi đơn thuần không phải là bệnh lý quá hiểm nghèo. Nhưng phần mô nướu bị rút đi sẽ không thể hồi phục tự nhiên như lúc ban đầu, trừ khi có sự can thiệp của các phẫu thuật phức tạp để tái tạo độ che phủ của nướu. Tuy nhiên, các bạn bị tụt nướu nhẹ cũng không cần quá lo lắng, bởi vì tụt lợi nhẹ gần như không gây ra quá nhiều sự khác biệt với lợi bình thường, các biện pháp phẫu thuật phục hình là chưa cần thiết. Điều quan trọng nhất là cần tìm đến các phương pháp có thể làm chậm quá trình tụt lợi. Chúng tôi sẽ gợi ý một số mẹo nhỏ có thể thực hiện được tại nhà có thể khắc phục tình trạng tụt nướu.
Bổ sung thực phẩm tốt cho nướu
Cách tốt nhất để làm chậm quá trình tụt nướu là khiến nướu khỏe mạnh từ bên trong. Chế độ ăn uống nên được quan tâm bổ sung các chất dinh dưỡng tốt cho nướu. Các thực phẩm chứa thành phần tốt cho nướu gồm
Các loại hạt chứa nhiều omega 3

Chúng bao gồm hạt mắc ca, hạt vừng (mè). Omega-3 rất cần thiết cho sự trao đổi chất trong cơ thể. Omega-3 rất tốt cho nướu răng của bạn vì chúng có tác dụng chống viêm, chống lão hóa, nên được tăng cường sử dụng trong bữa ăn hàng ngày
Cá hồi hoặc các loại cá béo khác
Các loại cá có nhiều dầu như cá hồi, cá trích và cá thu là những thực phẩm giàu dinh dưỡng và chứa nhiều omega-3. Do chứa nhiều dầu nên chúng có tác dụng chống viêm cho cơ thể và rất tốt cho hệ miễn dịch.
Thịt bò
Thịt bò giúp bổ sung collagen rất quan trọng với sự bền vững của nướu răng. Đây là thực phẩm giàu sắt và vitamin B12 giúp nuôi dưỡng tế bào và mô cơ.
Gà
Thịt gà chứa CoQ10 và collagen, cả hai đều rất tốt trong việc chống lại các bệnh nướu răng như tụt nướu. Đừng bỏ qua phần da gà vì nó chứa nhiều collagen.
Nước hầm xương
Nước hầm xương cũng có thành phần dinh dưỡng giúp tăng cường collagen có ích cho nướu răng. Ngoài ra, nước hầm xương giúp hấp thu canxi và magie tốt hơn cho răng chắc khỏe.
Nấm hương
Nấm hương có chứa lentinan, là một polysaccharide chỉ có trong loại nấm đặc biệt này. Lentinan tấn công vi khuẩn gây có hại trong khi bỏ mặc các vi khuẩn khác. Nấm hương cũng có khả năng chống viêm mạnh mẽ và đã được chứng minh trong các nghiên cứu rằng giúp giảm viêm nướu hiệu quả, từ đó giảm nguy cơ bị tụt lợi.
Bông cải xanh
Bông cải xanh chứa nhiều Vitamin C có tác dụng như một chất chống oxy hóa trong cơ thể. Vitamin C có liên quan rất nhiều đến nướu răng. Ngoài ra, bông cải xanh cũng cung cấp rất nhiều chất dinh dưỡng khác như Vitamin B1, magiê, sắt, canxi, niacin và selen.
Ớt chuông xanh và đỏ

Trên thực tế, cả ớt chuông đỏ và ớt chuông xanh đều có nhiều Vitamin C hơn quả cam. Hãy thêm ớt chuông vào chế độ ăn uống của bạn để tăng cường Vitamin C một cách dễ dàng và ngon miệng.
Khoai lang
Khoai lang là một nguồn dinh dưỡng tuyệt vời chứa hàm lượng cao beta carotene. Beta carotene là một chất dinh dưỡng cần thiết cho nướu răng khỏe mạnh. Nó làm giảm viêm và cung cấp cho cơ thể bạn các yếu tố cần thiết để tạo ra Vitamin A. Khoai lang cũng chứa hàm lượng cao Vitamin C, Vitamin B6 và Mangan.
Trà xanh
Trà xanh có hàm lượng catechin cao giúp chống lại các bệnh nướu răng, bảo vệ nướu khỏe mạnh, rất phù hợp để làm đồ uống hàng ngày cho những người bị tụt lợi.
Mật ong
Mật ong từ lâu đã được biết đến như một loại kháng sinh tự nhiên, giúp bảo vệ nướu và khoang miệng. Người bị tụt lợi có thể sử dụng mật ong để chăm sóc phần lợi đã bị co rút.
Thực phẩm chứa probiotic
Đó là các loại thực phẩm như: tỏi, hành tây, táo…Probiotics hỗ trợ các lợi khuẩn trong miệng của bạn, giảm viêm nướu và sự tích tụ mảng bám, giúp giảm nguy cơ gặp phải các bệnh lý gây tụt lợi.
Đọc thêm: Chữa tụt lợi bằng đông y có hiệu quả không?
Thực hiện vệ sinh răng miệng hàng ngày để trị tụt lợi
Ngoài việc bổ sung các thực phẩm tốt cho răng, lợi thì cách chăm sóc răng miệng cũng không kém phần quan trọng để chữa trị và ngăn ngừa tình trạng tụt lợi. Chúng tôi khuyên bạn nên thực hiện đầy đủ các lưu ý sau để bảo vệ răng miệng của mình tốt nhất:
- Đánh răng thường xuyên mỗi sáng thức dậy và trước khi đi ngủ giúp loại bỏ tối đa mảng bám, khiến vi khuẩn không kịp phát triển, sinh sôi gây bệnh nướu răng. Từ đó giúp giảm thiểu nguy cơ tụt lợi do viêm nhiễm nha chu.
- Dùng bàn chải có phần lông chải mềm, đánh răng với lực vừa phải, không cọ sát nướu quá nhiều.
- Dùng chỉ nha khoa thay cho tăm tre truyền thống để làm sạch sâu và tránh gây tổn thương lợi.
- Súc miệng bằng nước muối loãng hoặc nước súc miệng chuyên dụng để làm sạch khoang miệng sau khi ăn uống.
- Đi khám răng định kỳ và lấy cao răng thường xuyên 4-6 tháng/lần là phương pháp hữu hiệu để loại bỏ nguy cơ khiến lợi bị tụt nghiêm trọng hơn.
Có thể bạn quan tâm: Tụt lợi có tự khỏi không? Làm gì khi bị tụt lợi chân răng?
Qua đây, chúng ta có thể thấy rằng, dù bệnh tụt lợi nhẹ không gây ra những hậu quả tức thời nhưng nếu không chủ động khắc phục, phòng ngừa thì bệnh sẽ diễn biến nặng hơn và gây ra những tác hại không mong muốn. Hy vọng những thông tin trên thực sự bổ ích cho những người đang đi tìm các giải pháp cho bệnh tụt lợi nhẹ. Chúc bạn đọc nhiều sức khỏe.
