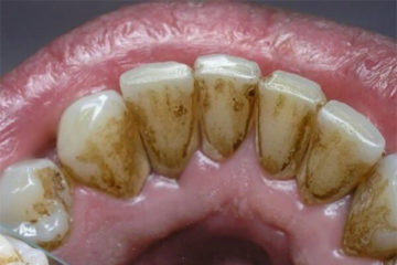
Làm thế nào để loại bỏ sạch mảng bám đen trên răng? Tình trạng mảng bám đen trên răng có lẽ không quá xa lạ với nhiều người. Một hàm răng khỏe mạnh bình thường sẽ có màu ...
Bé bị hôi miệng – nguyên nhân và cách xử lý mẹ cần biết Những em bé sơ sinh thường khiến người ta liên tưởng đến hình ảnh đáng yêu, miệng thơm mùi sữa. Điều làm chúng ta khó có ...
Hôi miệng lâu năm có phải dấu hiệu bệnh lý? Giao tiếp thực sự rất quan trọng để gắn kết con người với nhau. Tuy nhiên, chắc hẳn trong chúng ta đã có người từng trải ...
Xịt thơm miệng có loại bỏ được mùi hôi miệng không? Hôi miệng ảnh hưởng rất lớn đến hiệu quả giao tiếp của chúng ta. Bản thân người bị hôi miệng luôn có cảm giác tự ti khi ...
Cao răng huyết thanh là gì? Loại bỏ như thế nào? Cao răng là một khái niệm có lẽ đã phổ biến với nhiều người nhưng chưa chắc bạn đã biết cao răng huyết thanh là gì? Bài ...
Hôi miệng là dấu hiệu bệnh gì? Hôi miệng thường không phải vấn đề lớn ảnh hưởng tới sức khỏe của chúng ta. Nhưng đôi khi, nó có thể là dấu hiệu của ...
Sự thật về tình trạng hôi miệng sau khi nhổ răng Hôi miệng sau khi nhổ răng là tình trạng phổ biến trong nha khoa và thường nó sẽ hồi phục khi khu vực này lành lại. Nó ...
Truy tìm “thủ phạm” gây hôi miệng ở các bà mẹ sau sinh Chồng tôi nhận thấy tôi bắt đầu bị hôi miệng sau khi sinh con. Anh ấy nói rằng hơi thở của tôi rất khủng khiếp. Hơi ...
Hôi miệng chảy máu chân răng là dấu hiệu bệnh gì? Sau khi đánh răng, nhiều người thấy răng mình bị chảy máu mà không biết nguyên nhân tại sao. Tình trạng này thực sự ...
Tìm hiểu chính xác lí do sâu răng gây hôi miệng? Có rất nhiều nguyên nhân khiến bạn gặp phải tình trạng hôi miệng. Có thể là do cách chăm sóc răng miệng không đúng, mắc ...