Sau khi đánh răng, nhiều người thấy răng mình bị chảy máu mà không biết nguyên nhân tại sao. Tình trạng này thực sự không đáng lo ngại nếu chúng chỉ xảy ra ngay lúc đó và dần dần biến mất. Nhưng nếu hơi thở có mùi đi kèm thì không thể loại trừ những bệnh lý gây ra tình trạng này. Vậy hôi miệng và chảy máu chân răng có mối liên hệ với nhau như thế nào? Làm gì để khắc phục tình trạng trên? Bài viết dưới đây sẽ có câu trả lời cho bạn.
Mục lục
Hôi miệng và chảy máu chân răng là dấu hiệu của bệnh gì?

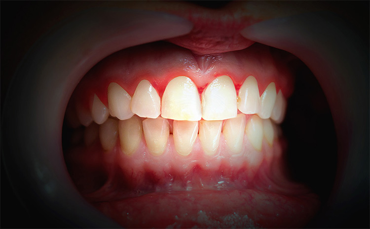
Khi chăm sóc răng miệng không đúng cách, bạn có thể gặp các vấn đề về răng miệng, trong đó có chảy máu chân răng. Đây không phải là bệnh lý nguy hiểm nhưng nếu bỏ qua hay chủ quan sẽ gây khó chịu cho người bệnh. Hôi miệng là tình trạng hơi thở có mùi hôi khó chịu khi nói, khi giao tiếp với người khác.
Nếu chảy máu chân răng đi kèm với hôi miệng thì đó có thể là dấu hiệu của một số bệnh lý dưới đây
Viêm nướu
Đây là một bệnh về đường răng miệng rất dễ gặp phải, gây ra hôi miệng và chảy máu chân răng. Nguyên nhân gây ra viêm nướu thường là do vệ sinh không đúng cách, vi khuẩn có cơ hội tích tụ trong nướu khiến nướu răng xuất hiện những mảng bám, chảy máu và sưng tấy đỏ. Những mảng bám này sẽ dần bị vi khuẩn phân hủy sẽ khiến hơi thở có mùi hôi khó chịu.
Ngoài ra, khi bị viêm lợi, bạn cũng có cảm giác đau khi nhai thức ăn, lung lay nhẹ chiếc răng gần đó do viêm dây chằng quanh răng,…
Bệnh có tiến triển nhanh, phức tạp, phát hiện sớm và có cách điều trị bệnh phù hợp. Nếu không, bệnh có thể để lại biến chứng như viêm nha chu. Chứng hôi miệng cũng sẽ tiếp diễn nặng nề hơn, khó có thể cải thiện tận gốc.
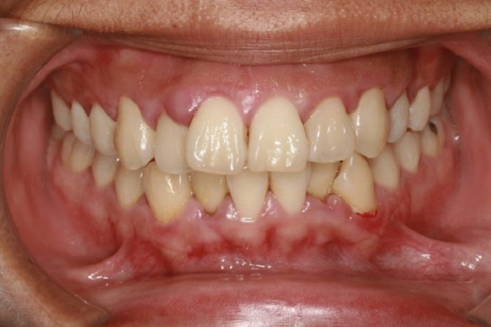
Viêm quanh răng
Bệnh có thể xảy ra khi bạn chăm sóc răng miệng đúng cách. Giai đoạn ủ bệnh khá lâu, âm thầm hơn bệnh viêm nướu. Viêm và sưng các mô xung quanh cuống răng là hai biểu hiện của viêm nướu. Nướu chuyển dần từ màu hồng nhạt sang đỏ. Những khoảng viền xung quanh lợi cũng không nhẵn và trơn như trước, khả năng bám vào chân răng cũng bị giảm đi khiến người bệnh cảm thấy đau, khó chịu đồng thời chảy máu chân răng.
Nếu không được phát hiện và chữa trị kịp thời thì các triệu chứng có thể gặp sẽ nguy hiểm hơn rất nhiều. Khoảng viền ở giữa răng chuyển từ màu vàng sang sẫm, lâu dần thành màu đen. Xương và lợi bị ảnh hưởng nghiêm trọng, chức năng nhai cũng dần bị mất đi.
Tìm hiểu thêm: Bị tụt lợi hở chân răng phải làm sao?
Sâu răng

Khi vi khuẩn xâm nhập và tấn công cấu trúc của răng, xảy ra quá trình phân hủy men răng và dần làm mất lớp mô này. Trên răng bắt đầu xuất hiện những lỗ sâu nhỏ li ti, có màu đen. Những lỗ nhỏ này là nơi tập trung của thức ăn thừa còn sót lại trong khoang miệng. Lâu dần, vi khuẩn sẽ phân hủy lượng thức ăn đó gây ra mùi hôi khó chịu và chảy máu chân răng.
Đọc chi tiết: Hôi miệng do sâu răng chữa thế nào?
Tiểu đường
Chảy máu chân răng và hôi miệng có thể là triệu chứng thông báo bạn đang mắc bệnh tiểu đường. Lượng insulin trong cơ thể bị giảm (khả năng đường được chuyển hóa thành năng lượng giảm). Do đó, hệ miễn dịch của người mắc bệnh tiểu đường thường bị suy giảm, dễ mắc các bệnh liên quan đến răng miệng, trong đó có chảy máu chân răng. Tình trạng này thường kéo dài do lượng đường trong máu cao hơn bình thường.
Viêm nha chu

Đây là bệnh lý hay gặp hàng đầu về răng miệng. Vi khuẩn xâm nhập và phát triển trên các mảng bám răng là nguyên nhân gây viêm nha chu. Mảng bám dần dày lên, tích tụ trên thân răng cùng với số lượng vi khuẩn ngày càng nhiều nếu bạn không vệ sinh răng sạch sẽ.
Các triệu chứng của viêm nha chu như chảy máu chân răng, hơi thở có mùi hôi, có cảm giác đau khi nhai, răng dễ bị lung lay,…Nếu để kéo dài, không có biện pháp chữa trị kịp thời, có thể dẫn đến mất răng hay mắc các bệnh về đường hô hấp, viêm khớp dạng thấp, đột quỵ,…
Thiếu hụt vitamin và canxi
Khi cơ thể thiếu canxi, rất dễ có nguy cơ gây sâu răng, loãng xương, nguy hiểm hơn là bệnh viêm nha chu. Nếu thiếu vitamin K, có thể gây chảy máu chân răng và hơi thở có mùi hôi.
Ung thư máu
Ung thư máu có bao gồm các triệu chứng hôi miệng và chảy máu chân răng. Nguy cơ này ít xảy ra, tuy nhiên người bệnh cũng không nên chủ quan do bệnh rất nguy hiểm. Số lượng hồng cầu giảm đi do chính bạch cầu trong cơ thể ăn, do đó chúng bị phá hủy, dẫn đến thiếu máu và tử vong.
Ngoài ra, hôi miệng và chảy máu chân răng còn do một số nguyên nhân như căng thẳng, stress, ăn uống không khoa học, hút thuốc lá hay vệ sinh răng miệng không đúng cách,…
Đọc thêm: Thực hư về chuyện hở van tim gây hôi miệng
Hôi miệng và chảy máu chân răng có gây nguy hiểm hay không?
Hôi miệng và chảy máu chân răng do rất nhiều tác nhân và bệnh lý khác nhau gây nên. Nếu nguyên nhân gây nên triệu chứng này là do vệ sinh răng miệng không sạch sẽ, thiếu canxi và vitamin,…thì có thể được cải thiện bằng cách bổ sung những chất mà cơ thể thiếu hụt, thay đổi lối sống,…Tuy nhiên, nếu nguyên nhân là do một bệnh lý nào đó thì người bệnh cần đến các cơ sở uy tín để được thăm khám và điều trị kịp thời, tránh tình trạng răng bị hoại tử hoặc mất răng.
Có thể bạn quan tâm: Hôi miệng là do bệnh gì? Cách điều trị và phòng ngừa
Đặc biệt, nếu nguyên nhân là do tiểu đường và ung thư máu, không được phát hiện kịp thời thì bạn sẽ có thể gặp những biến chứng nghiêm trọng, thậm chí là tử vong. Do đó, nếu thấy hơi thở có mùi và chảy máu chân răng cùng các biểu hiện bất thường khác như máu khó đông, cân nặng giảm bất thường,…thì bạn cần đến các phòng khám chuyên khoa để được thăm khám, xác định đúng nguyên nhân gây bệnh và có biện pháp chữa trị, hạn chế những biến chứng nguy hiểm xảy đến.
Một số mẹo giúp bạn cải thiện tình trạng hôi miệng chảy máu chân răng
Dùng nha đam

Nha đam có tính kháng khuẩn nên có tác dụng làm giảm vị trí sưng viêm nhanh chóng và hiệu quả.
Lấy phần thịt của nha đam và ép lấy nước cốt. Dùng nước này thoa lên khu vực nướu bị chảy máu khoảng 5 phút. Kiên trì thực hiện 2 lần / ngày sẽ giúp cải thiện tình trạng này hiệu quả.
Dùng lá trà xanh
Ngoài công dụng sử dụng làm nước uống hàng ngày, trà xanh còn có tác dụng trị chảy máu chân răng. Hoạt chất chính có trong lá trà là tanin, có khả năng chống lại các gốc tự do mạnh mẽ, chống oxy hóa hiệu quả, hạn chế chảy máu tái phát. Hiện nay, nhiều nhà sản xuất đã sử dụng trà xanh trong sản phẩm kem đánh răng của mình, đem lại sự tin tưởng và hiệu quả cao cho người sử dụng.
Có thể bạn muốn biết: 10 cách trị hôi miệng từ bên trong đơn giản nhất
Có thể sử dụng trà xanh như cách bạn hãm để uống nước, thêm chút mật ong và ngậm chúng khoảng vài phút và nuốt.
Khả năng kháng khuẩn trong lá trà sẽ giúp hạn chế vi khuẩn phát triển và sinh sôi trong khoang miệng.
Ngoài ra, trà túi lọc cũng là một sự lựa chọn tốt cho bạn, thuận tiện cho mỗi lần đi công tác hay du lịch. Trà được nhúng vào nước, tiếp theo đặt lên vùng chân răng bị chảy máu. Tuy nhiên, bạn không nên sử dụng trà quá đặc vì có thể gây kích ứng.
Dùng nước muối súc miệng

Đây là biện pháp đơn giản và hiệu quả nhất. Pha loãng muối với một chút nước ấm và thực hiện súc miệng 3 lần / ngày, các triệu chứng hôi miệng và chảy máu chân răng sẽ giảm dần.
Tìm hiểu thêm: Xịt thơm miệng nào tốt nhất?
Dùng củ nghệ
Một trong những nguyên liệu giảm chảy máu chân răng tốt không thể không kể đến củ nghệ. Hoạt chất curcumin có trong nghệ có khả năng chống viêm, chống oxy hóa hiệu quả. Đồng thời, làm trắng răng, mảng bám được loại bỏ, ngăn ngừa viêm nướu hiệu quả.
Cách thực hiện vô cùng đơn giản như sau
- Chuẩn bị: 200ml nước + 1 ít vitamin E + 1 thìa bột nghệ, hòa trộn với nhau để tạo thành khối đặc quánh.
- Sử dụng hỗn hợp này để đắp lên khu vực nướu bị tổn thương.
- Đợi trong vòng 10 phút, dùng nước ấm để súc miệng lại.
- Nên thực hiện 1 lần / ngày sẽ đem lại hiệu quả tích cực cho người sử dụng.
Cách phòng ngừa chảy máu chân răng và hôi miệng
Ngoài những cách cải thiện tình trạng trên, bạn cũng có thể áp dụng một số các biện pháp phòng ngừa dưới đây
- Chải răng ít nhất 2 lần / ngày vào buổi sáng sớm và trước khi đi ngủ buổi tối. Khi thực hiện chải răng, nhẹ nhàng chải đều theo chiều thân răng hay theo vòng tròn để mảng bám và thức ăn thừa được loại bỏ hoàn toàn.
- Lựa chọn bàn chải có lông mềm để tránh làm tổn thương nướu. Bàn chải nên được thay thường xuyên 3 – 4 tháng / lần để hạn chế vi khuẩn tích tụ, vi khuẩn từ bàn chải sang răng có thể khiến tình trạng viêm lợi nặng nề hơn.
- Thường xuyên súc miệng bằng nước muối pha loãng hay dùng nước súc miệng.
- Bổ sung đầy đủ chất dinh dưỡng, nâng cao hệ miễn dịch để giảm tối đa các bệnh liên quan đến răng miệng.
- Ăn nhiều trái cây chứa nhiều loại vitamin như A, C, K,..Lượng canxi cũng được cung cấp đầy đủ cho cơ thể.
- Không hút thuốc lá, hạn chế sử dụng những đồ uống có cồn, gas, hay chứa chất kích thích,…
Hy vọng với những thông tin mà chúng tôi cung cấp trên đây về vấn đề “chảy máu chân răng và hôi miệng là dấu hiệu của bệnh gì?” bạn đọc đã có thêm những hiểu biết về tình trạng này. Đặc biệt, sẽ có cho mình những biện pháp chăm sóc răng miệng để hàm răng luôn khỏe và hơi thở thơm mát.
