Cao răng là một khái niệm có lẽ đã phổ biến với nhiều người nhưng chưa chắc bạn đã biết cao răng huyết thanh là gì? Bài viết này sẽ giúp bạn tìm hiểu chi tiết về loại cao răng này, nguyên nhân chúng hình thành và cách loại bỏ hiệu quả.
Mục lục
Cao răng hình thành như thế nào?
Hàng ngày, trong quá trình chúng ta ăn uống, luôn có một quá trình xảy ra do sự kết hợp giữa nước bọt, thức ăn, chất lỏng tạo ra lớp màng mềm không màu hoặc vàng nhạt bao phủ bề mặt răng hoặc bám ở một số vị trí của răng, màng này được gọi là mảng bám. Theo thời gian, nếu mảng bám không được loại bỏ thường xuyên, các khoáng chất từ nước bọt của bạn sẽ tích tụ vào màng sinh học mảng bám khiến nó cứng lại trong vòng 24 đến 72 giờ, biến thành cao răng.
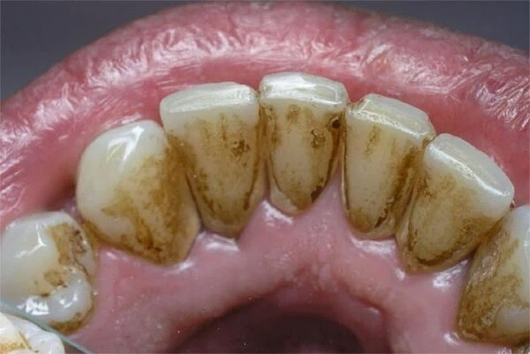
Có đến gần 68% người trưởng thành có cao răng. Cao răng, còn được gọi là vôi răng, là một chất lắng đọng có màu vàng hoặc nâu, hình thành khi mảng bám cứng lại trên răng của bạn. Cao răng tích tụ lâu ngày ăn sâu dưới nướu và chân răng, bị ngấm máu chảy ra từ lợi có màu nâu đỏ hoặc nâu đen. Tình trạng cao răng huyết thanh được đánh giá là nghiêm trọng hơn cao răng nước bọt.
Cao răng huyết thanh là gì?

Cao răng có 2 loại đó là cao răng nước bọt và cao răng huyết thanh.
Cao răng nước bọt phổ biến hơn, nó có màu hơi ngả vàng, thường nằm ở mặt trong và ngoài của răng. Cao răng nước bọt hình thành do mảng bám kết hợp từ thức ăn và nước bọt.
Trong khi đó, cao răng huyết thanh thường nằm cả trên bề mặt răng và sâu dưới nướu, đôi khi phải dùng đến các biện pháp thăm dò, chụp X-quang răng mới có thể quan sát thấy. Cao răng huyết thanh thường có màu đỏ, nâu đen, hình thành do máu và huyết tương đọng lại cùng mảng bám. Cao răng huyết thanh là nơi chứa hàng triệu vi khuẩn là tác nhân gây ra hàng loạt bệnh lý về răng và nướu.
Các tình trạng liên quan đến cao răng huyết thanh
Cao răng huyết thanh được cho là yếu tố nguy cơ hàng đầu gây ra các bệnh răng miệng, bao gồm
Sâu răng:
Quá trình vi khuẩn tồn tại sinh sôi quá mức trong các mảng cao răng huyết thanh sẽ lan tới bề mặt răng, thực hiện ăn mòn lớp men răng, phá hủy cấu trúc ngà răng tạo nên các lỗ sâu răng. Vi khuẩn tấn công sâu vào tủy răng có thể gây ra viêm tủy, Tình trạng viêm tủy không thể kéo dài, cần xử lý bằng cách nạo bỏ ống tủy, từ đó khiến răng trở thành răng chết, khả năng gãy rụng cao.
Viêm nướu:
Cao răng huyết thanh tồn tại chủ yếu ở dưới nướu, bạn có thể tưởng tượng chúng như những miếng nêm chèn vào giữa nướu và chân răng khiến nướu bị tách khỏi chân răng, không còn bám dính và bảo vệ chân răng như trước. Vi khuẩn sẽ phát triển tại những vị trí này gây ra phản ứng viêm, nướu bị sưng đỏ, chảy máu, đau nhức. Nếu tình trạng này không được khắc phục, điều trị ngay thì khả năng rất cao sẽ dẫn đến viêm nha chu, một bệnh lý viêm nhiễm nướu rất nặng, ngoài hậu quả khiến tiêu xương ổ răng, mất răng , viêm nha chu còn góp phần tăng nguy cơ bị tiểu đường, cao huyết áp, tim mạch…
Hơi thở có mùi:
Việc tích tụ cao răng là tác nhân chính khiến hơi thở luôn có mùi hôi do cao răng là môi trường trú ngụ của vi khuẩn kỵ khí có hại, chúng sẽ phân hủy các mẩu thức ăn xót lại trên răng và các tế bào chết xung quanh, quá trình này hình thành hợp chất của lưu huỳnh dễ bay hơi và có mùi hôi khó chịu.
Tụt lợi:
Tình trạng tích tụ cao răng huyết thanh quá nhiều gây viêm nhiễm chân răng và nghiêm trọng hơn, sẽ khiến lợi bị teo rút, mất khả năng bao bọc chân răng. Bạn sẽ có cảm giác ê buốt chân răng thường xuyên khi ăn uống và ngoài ra, nhìn bề ngoài, chân răng sẽ bị dài ra, tương đối mất thẩm mỹ.
Điều trị cao răng huyết thanh

Cao răng huyết thanh thường nằm ở vị trí rất khó có thể xử lý bằng các phương pháp thông thường, bạn cần tìm đến cơ sở nha khoa để được loại bỏ cao răng bằng các loại máy móc, công cụ hiện đại.
Hiện nay, dịch vụ lấy cao răng đã phổ biến ở hầu hết các bệnh viện, phòng khám nha khoa. Lấy cao răng bằng máy siêu âm là cách làm sạch sâu và loại bỏ cao răng cực kỳ hiệu quả. Quá trình này sẽ sử dụng sóng siêu âm với tần số có thể khiến cao răng vỡ ra, giúp nha sĩ có thể dễ dàng loại bỏ chúng khỏi bề mặt răng.
Tiếp theo, nha sĩ sẽ đánh bóng, làm mịn bề mặt răng và sát khuẩn giúp giảm nguy cơ hoặc làm chậm quá trình tích tụ mảng bám và cao răng về sau.
Các bạn có thể hoàn toàn yên tâm rằng, lấy cao răng sẽ không gây đau đớn gì hoặc rất ít trường hợp răng nhạy cảm, trong và sau quá trình lấy cao răng có thể xuất hiện ê buốt răng. Tuy nhiên cảm giác này sẽ qua đi rất nhanh trong vòng vài giờ.
Thời gian để mảng bám hóa thành cao răng thông thường khoảng 3-6 tháng tùy vào từng trường hợp cụ thể, bạn hãy tự đánh giá mức độ cao răng của mình để quyết định đi gặp nha sĩ định kỳ, vừa để lấy cao răng thường xuyên và để kiểm soát tất cả các vấn đề liên quan đến răng miệng của mình.
Các bước để ngăn ngừa sự tích cao răng
Làm sạch kỹ răng miệng để ngăn ngừa hình thành mảng bám là cách tốt nhất để tránh xa cao răng. Thực hiện vệ sinh răng miệng bằng cách sau:
Chải răng thường xuyên và đều đặn ít nhất 2 lần mỗi ngày, thời điểm thích hợp nhất là sáng sớm khi mới thức dậy và buổi tối trước khi đi ngủ.
Kỹ thuật chải răng rất quan trọng, thói quen chải răng theo chiều ngang nhiều người vẫn hay thực hiện sẽ không đem lại nhiều hiệu quả. Các bạn nên tập đưa bàn chải răng theo chiều dọc lên xuống hoặc chải theo hình vòng xoáy ở bề mặt răng, chải kỹ mặt trong của răng và phần mặt nhai của răng hàm. Sau đó là súc miệng thật sạch với nước.
Chọn kem đánh răng có khả năng làm sạch mảng bám và chứa thành phần fluoride cao giúp giảm tích tụ cao răng và tăng cường lớp men răng.
Hiện nay sản phẩm bàn chải điện và tăm nước đang rất được ưa chuộng bởi khả năng làm sạch sâu, giúp ngăn ngừa hình thành cao răng rất hiệu quả.

Loại bỏ mẩu vụn thức ăn và mảng bám bằng chỉ nha khoa và nước súc miệng. Nên từ bỏ thói quen dùng tăm tre truyền thống bởi khả năng làm sạch kém và dễ gây tổn thương cho nướu của chúng.
Khám nha khoa định kỳ để phát hiện sớm các vấn đề răng miệng và lấy cao răng đúng lúc, tránh để lâu biến chứng thành các bệnh răng miệng khác.
Nên bỏ thói quen hút thuốc bởi nó có thể làm nghiêm trọng tình trạng cao răng và gây hôi miệng.
Mẹo loại bỏ cao răng huyết thanh tại nhà
Làm mềm cao răng bằng giấm táo, giấm trắng, nước chanh, vỏ cam, axit ascorbic
Cao răng bị mềm đi trong môi trường có nồng độ PH thấp có tính axit ( từ 1 đến 6,9). Tuy nhiên men răng đồng thời cũng bị mềm đi khi nồng độ PH thấp hơn 5.5. Vì vậy, chúng ta có thể pha loãng giấm táo, giấm trắng để súc miệng hoặc nhai một chút vỏ cảm trước khi đánh răng. Mục đích của việc này là để cao răng bị mềm ra bởi axit nhẹ giúp quá trình đánh răng dễ dàng đánh bật các mảng cao răng đi.
Loại bỏ cao răng bằng than hoạt tính
Tác dụng của than hoạt tính là hấp thu cặn bụi bẩn, các hóa chất, lọc khí và nước nên được ứng dụng trong nhiều ngành, lĩnh vực làm đẹp, máy lọc khí,…Nhưng ít ai biết răng, than hoạt tính có thể ứng dụng để đánh bật cao răng. Dùng một chút bột than hoạt tính khi đánh răng có thể mài mòn mảng bám và cao răng rất hiệu quả. Ngoài giúp giảm tích tụ cao răng, than hoạt tính còn có thể làm răng trắng sáng hơn
Tẩy cao răng bằng dầu dừa

Dầu dừa chứa axit lauric giúp loại các mảng bám tạo vi khuẩn trên răng, vừa có tác dụng kháng khuẩn chống viêm nhiễm nướu, đồng thời giảm nguy cơ hình thành cao răng. Bôi dầu dừa trực tiếp lên bề mặt răng có mảng bám hoặc phần rìa nướu và chân răng, sau đó xoa nhẹ và súc miệng thật sạch, bạn sẽ thấy tình trạng mảng bám và cao răng giảm đáng kể.
Loại bỏ cao răng bằng baking soda
Baking soda có độ mài mòn thấp nên rất an toàn khi sử dụng và các nghiên cứu cho thấy kem đánh răng có baking soda có hiệu quả hơn trong việc loại bỏ cao răng. Mặc dù nó không có tính axit và có thể sẽ không gây hại cho răng nhưng cũng không nên lạm dụng và dùng quá thường xuyên. Một lượng nhỏ baking soda kết hợp khi đánh răng là cách loại bỏ cao răng và khiến răng trắng sạch hiệu quả.
Trên đây là các mẹo nhỏ có thể ngăn ngừa và làm giảm mức độ cao răng đang tồn tại. Tuy nhiên, việc lấy cao răng tại nha khoa vẫn là phương pháp tối ưu nhất, giúp kiểm soát mức độ cao răng, giảm nguy cơ tiến triển thành cao răng huyết thanh. Đồng thời độc giả hãy cố gắng rèn luyện cho mình thói quen chăm sóc răng miệng theo hướng dấn ở trên để bảo vệ sức khỏe răng miệng tốt nhất nhé.
